验证数据展示
经过测试的应用
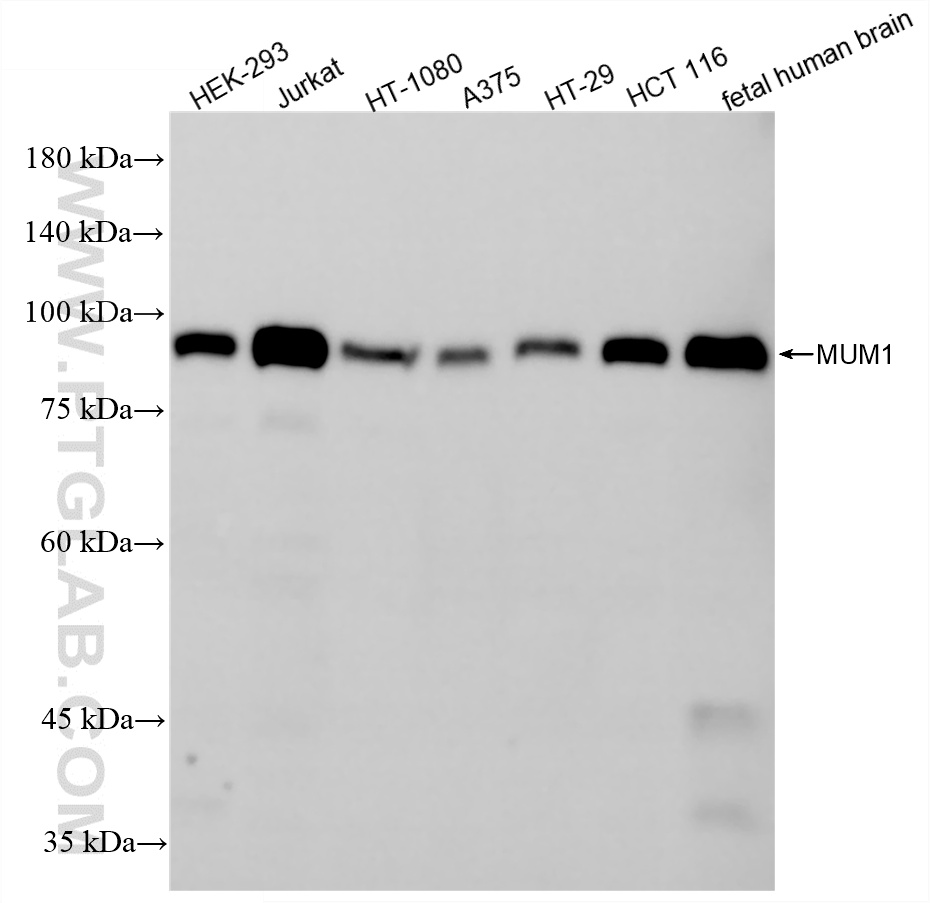
| Positive WB detected in | HEK-293 cells, Jurkat cells, HT-1080 cells, A375 cells, HT-29 cells, HCT 116 cells, fetal human brain tissue |
推荐稀释比
| 应用 | 推荐稀释比 |
|---|---|
| Western Blot (WB) | WB : 1:2000-1:10000 |
| It is recommended that this reagent should be titrated in each testing system to obtain optimal results. | |
| Sample-dependent, Check data in validation data gallery. | |
产品信息
87147-1-RR targets MUM1 in WB, ELISA applications and shows reactivity with human samples.
| 经测试应用 | WB, ELISA Application Description |
| 经测试反应性 | human |
| 免疫原 |
CatNo: Ag3371 Product name: Recombinant human MUM1 protein Source: e coli.-derived, PGEX-4T Tag: GST Domain: 1-152 aa of BC008098 Sequence: MLPDRSRAARDRANQKLVEYIVKAKGAESHLRAILKSRKPSRWLQTFLSSSQYVTCVETYLEDEGQLDLVVKYLQGVYQEVGAKVLQRTNGDRIRFILDVLLPEAIICAISAVDEVDYKTAEEKYIKGPSLSYREKEIFDNQLLEERNRRRR 种属同源性预测 |
| 宿主/亚型 | Rabbit / IgG |
| 抗体类别 | Recombinant |
| 产品类型 | Antibody |
| 全称 | melanoma associated antigen (mutated) 1 |
| 别名 | EXPAND1, MUM-1, Mutated melanoma-associated antigen 1, PWWP domain-containing protein MUM1, PWWP3A |
| 计算分子量 | 18 kDa, 79 kDa |
| 观测分子量 | 80 kDa |
| GenBank蛋白编号 | BC008098 |
| 基因名称 | MUM1 |
| Gene ID (NCBI) | 84939 |
| 偶联类型 | Unconjugated |
| 形式 | Liquid |
| 纯化方式 | Protein A purification |
| UNIPROT ID | Q2TAK8 |
| 储存缓冲液 | PBS with 0.02% sodium azide and 50% glycerol, pH 7.3. |
| 储存条件 | Store at -20°C. Stable for one year after shipment. Aliquoting is unnecessary for -20oC storage. |
背景介绍
MUM1, also named as EXPAND1, is an architectural component of the chromatin, which in response to DNA damage serves as an accessory factor to promote cell survival. It is a 53BP1-associated DNA damage-responsive factor. MUM1/EXPAND1 is different to another protein IRF4/MUM1.
实验方案
| Product Specific Protocols | |
|---|---|
| WB protocol for MUM1 antibody 87147-1-RR | Download protocol |
| Standard Protocols | |
|---|---|
| Click here to view our Standard Protocols |

