验证数据展示
产品信息
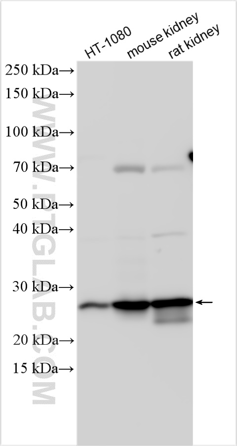
14547-1-PBS targets MSRA in WB, IHC, IF/ICC, IP, Indirect ELISA applications and shows reactivity with human, mouse, rat samples.
| 经测试应用 | WB, IHC, IF/ICC, IP, Indirect ELISA Application Description |
| 经测试反应性 | human, mouse, rat |
| 免疫原 |
CatNo: Ag6053 Product name: Recombinant human MSRA protein Source: e coli.-derived, PGEX-4T Tag: GST Domain: 1-235 aa of BC054033 Sequence: MLSATRRACQLLLLHSLFPVPRMGNSASNIVSPQEALPGRKEQTPVAAKHHVNGNRTVEPFPEGTQMAVFGMGCFWGAERKFWVLKGVYSTQVGFAGGYTSNPTYKEVCSEKTGHAEVVRVVYQPEHMSFEELLKVFWENHDPTQGMRQGNDHGTQYRSAIYPTSAKQMEAALSSKENYQKVLSEHGFGPITTDIREGQTFYYAEDYHQQYLSKNPNGYCGLGGTGVSCPVGIKK 种属同源性预测 |
| 宿主/亚型 | Rabbit / IgG |
| 抗体类别 | Polyclonal |
| 产品类型 | Antibody |
| 全称 | methionine sulfoxide reductase A |
| 别名 | |
| 计算分子量 | 26 kDa |
| 观测分子量 | 24-26 kDa |
| GenBank蛋白编号 | BC054033 |
| 基因名称 | MSRA |
| Gene ID (NCBI) | 4482 |
| RRID | AB_2148366 |
| 偶联类型 | Unconjugated |
| 形式 | Liquid |
| 纯化方式 | Antigen affinity purification |
| UNIPROT ID | Q9UJ68 |
| 储存缓冲液 | PBS only, pH 7.3. |
| 储存条件 | Store at -80°C. The product is shipped with ice packs. Upon receipt, store it immediately at -80°C |
背景介绍
Methionine sulfoxide reductase A(MSRA), is a ubiquitous and highly conserved protein that carries out the enzymatic reduction of methionine sulfoxide to methionine.MSRA has some isoforms with MW of 19~26 kDa. MSRA functions in the repair of oxidatively damaged proteins to restore biological activity. Transfection of MSRA reduced colony formation and the invasiveness of HCC cell lines.





