MRC2 Monoclonal antibody

MRC2 Monoclonal Antibody for WB, ELISA
Cat No. 60930-1-Ig

产品说明书

CloneNo. 1D12E6

宿主/亚型

Mouse / IgG1

种属反应性

human

应用

WB, ELISA

C type mannose receptor 2, CD280, CLEC13E, C-type lectin domain family 13 member E, C-type mannose receptor 2

缓冲液配方:  PBS, Azide, Glycerol
PBS, Azide, Glycerol
PBS Only
偶联物:  Unconjugated
Unconjugated
规格价格库存


经过测试的应用

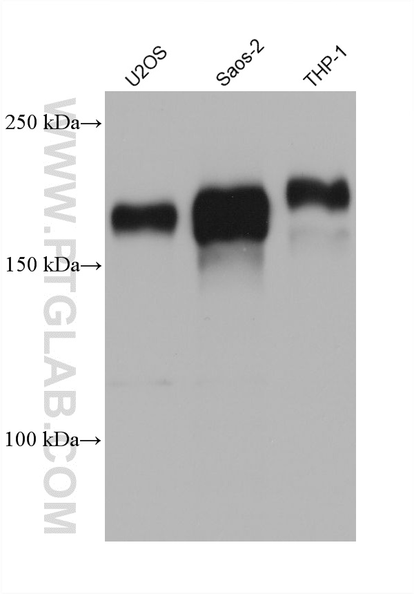
Positive WB detected inU2OS cells, Saos-2 cells, THP-1 cells

推荐稀释比

应用推荐稀释比
Western Blot (WB)WB : 1:2000-1:10000
It is recommended that this reagent should be titrated in each testing system to obtain optimal results.
Sample-dependent, Check data in validation data gallery.

产品信息

60930-1-Ig targets MRC2 in WB, ELISA applications and shows reactivity with human samples.

经测试应用 WB, ELISA Application Description
经测试反应性 human
免疫原

CatNo: Ag15570

Product name: Recombinant human MRC2 protein

Source: e coli.-derived, PGEX-4T

Tag: GST

Domain: 1066-1415 aa of BC146647

Sequence: PSPAPSGNKPTSCAVVLHSPSAHFTGRWDDRSCTEETHGFICQKGTDPSLSPSPAALPPAPGTELSYLNGTFRLLQKPLRWHDALLLCESHNASLAYVPDPYTQAFLTQAARGLRTPLWIGLAGEEGSRRYSWVSEEPLNYVGWQDGEPQQPGGCTYVDVDGAWRTTSCDTKLQGAVCGVSSGPPPPRRISYHGSCPQGLADSAWIPFREHCYSFHMELLLGHKEARQRCQRAGGAVLSILDEMENVFVWEHLQSYEGQSRGAWLGMNFNPKGGTLVWQDNTAVNYSNWGPPGLGPSMLSHNSCYWIQSNSGLWRPGACTNITMGVVCKLPRAEQSSFSPSALPENPAAL

种属同源性预测
宿主/亚型 Mouse / IgG1
抗体类别 Monoclonal
产品类型 Antibody
全称 mannose receptor, C type 2
别名 C type mannose receptor 2, CD280, CLEC13E, C-type lectin domain family 13 member E, C-type mannose receptor 2
计算分子量 1479 aa, 167 kDa
观测分子量170 kDa
GenBank蛋白编号BC146647
基因名称 MRC2
Gene ID (NCBI) 9902
偶联类型 Unconjugated
形式Liquid
纯化方式Protein G purification
UNIPROT IDQ9UBG0
储存缓冲液 PBS with 0.02% sodium azide and 50% glycerol, pH 7.3.
储存条件Store at -20°C. Stable for one year after shipment. Aliquoting is unnecessary for -20oC storage.

背景介绍

C-type mannose receptor 2 (MRC2), also known as CD280, CLEC13E, ENDO180, KIAA0709, or UPARAP, is a type I transmembrane glycoprotein that belongs to the macrophage mannose receptor protein family (PMID: 10683150; 10636902; 9734811). It contains an N-terminal cysteine-rich domain, a fibronectin type II domain (FNII), eight C-type-lectin-like domains, and a transmembrane region followed by a small cytoplasmic domain (PMID: 34012764). MRC2 is a recycling endocytic receptor that functions in both these cellular activities by promoting cell migration and uptake of collagens for intracellular degradation (PMID: 17974964). MRC2 is expressed in several cells and organs including fibroblasts, endothelial cells, and macrophages. Altered MRC2 expression has been associated with the development and progression of different cancers, including head and neck squamous cell carcinoma, breast cancer, hepatocellular cancer, and prostate cancer (PMID: 36188226; 37666484; 17974964; 25162823).

实验方案

Product Specific Protocols
WB protocol for MRC2 antibody 60930-1-IgDownload protocol
Standard Protocols
Click here to view our Standard Protocols
Loading...
||
New chat

Able

正在加载,请稍候...