验证数据展示
经过测试的应用
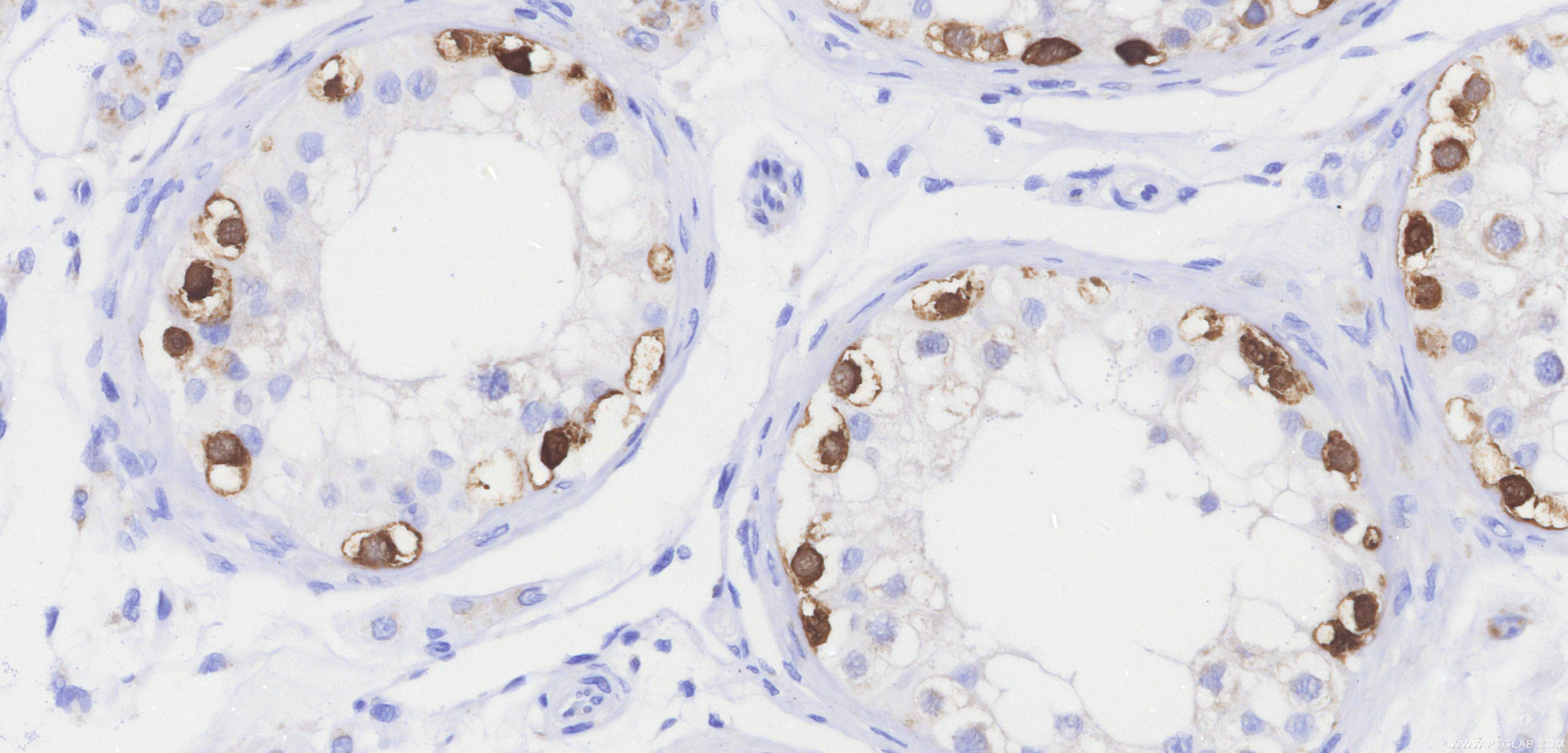
| Positive IHC detected in | human testis tissue Note: suggested antigen retrieval with TE buffer pH 9.0; (*) Alternatively, antigen retrieval may be performed with citrate buffer pH 6.0 |
推荐稀释比
| 应用 | 推荐稀释比 |
|---|---|
| Immunohistochemistry (IHC) | IHC : 1:1500-1:6000 |
| It is recommended that this reagent should be titrated in each testing system to obtain optimal results. | |
| Sample-dependent, Check data in validation data gallery. | |
产品信息
84248-8-RR targets MAGEA4 in IHC, ELISA applications and shows reactivity with human samples.
| 经测试应用 | IHC, ELISA Application Description |
| 经测试反应性 | human |
| 免疫原 |
CatNo: Ag3193 Product name: Recombinant human MAGEA4 protein Source: e coli.-derived, PGEX-4T Tag: GST Domain: 1-317 aa of BC017723 Sequence: MSSEQKSQHCKPEEGVEAQEEALGLVGAQAPTTEEQEAAVSSSSPLVPGTLEEVPAAESAGPPQSPQGASALPTTISFTCWRQPNEGSSSQEEEGPSTSPDAESLFREALSNKVDELAHFLLRKYRAKELVTKAEMLERVIKNYKRCFPVIFGKASESLKMIFGIDVKEVDPTSNTYTLVTCLGLSYDGLLGNNQIFPKTGLLIIVLGTIAMEGDSASEEEIWEELGVMGVYDGREHTVYGEPRKLLTQDWVQENYLEYRQVPGSNPARYEFLWGPRALAETSYVKVLEHVVRVNARVRIAYPSLREAALLEEEEGV 种属同源性预测 |
| 宿主/亚型 | Rabbit / IgG |
| 抗体类别 | Recombinant |
| 产品类型 | Antibody |
| 全称 | melanoma antigen family A, 4 |
| 别名 | Cancer/testis antigen 1.4, CT1.4, MAGE 4 antigen, MAGE 41, MAGE 41 antigen |
| 计算分子量 | 317 aa, 35 kDa |
| GenBank蛋白编号 | BC017723 |
| 基因名称 | MAGEA4 |
| Gene ID (NCBI) | 4103 |
| 偶联类型 | Unconjugated |
| 形式 | Liquid |
| 纯化方式 | Protein A purification |
| UNIPROT ID | P43358 |
| 储存缓冲液 | PBS with 0.02% sodium azide and 50% glycerol, pH 7.3. |
| 储存条件 | Store at -20°C. Stable for one year after shipment. Aliquoting is unnecessary for -20oC storage. |
背景介绍
MAGEA4, also named MAGE4 and CT1.4, is one of the germ cell-specific markers (PMID:16540528). SMAGEA4 is one of the subgroup I MAGEAs members, which may play important roles in the immune surveillance of certain tumor types and play important roles during embryogenesis.(PMID:15222021)
实验方案
| Product Specific Protocols | |
|---|---|
| IHC protocol for MAGEA4 antibody 84248-8-RR | Download protocol |
| Standard Protocols | |
|---|---|
| Click here to view our Standard Protocols |

