验证数据展示
经过测试的应用
| Positive WB detected in | Daudi cells, Raji cells, mouse thymus tissue, rat thymus tissue |
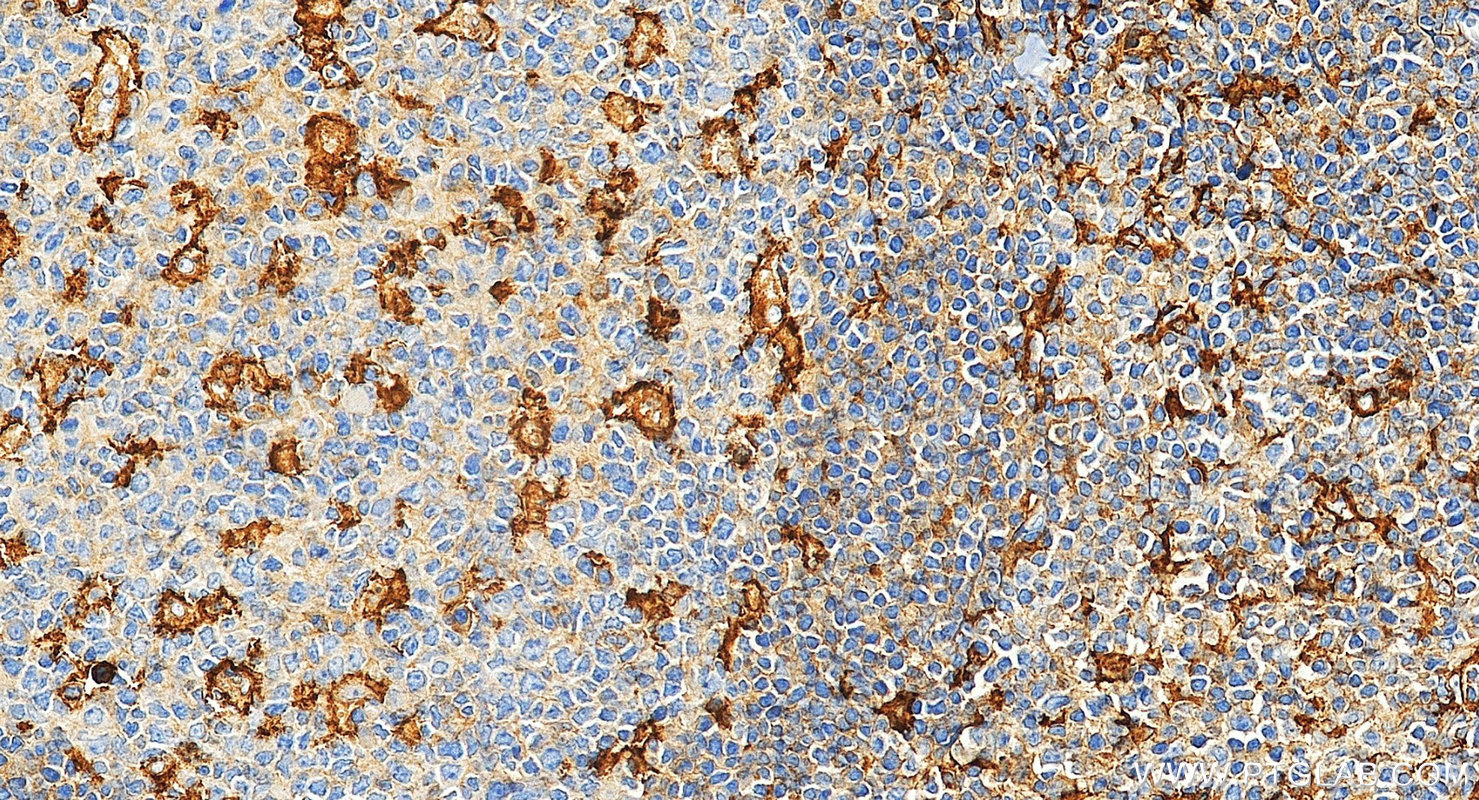
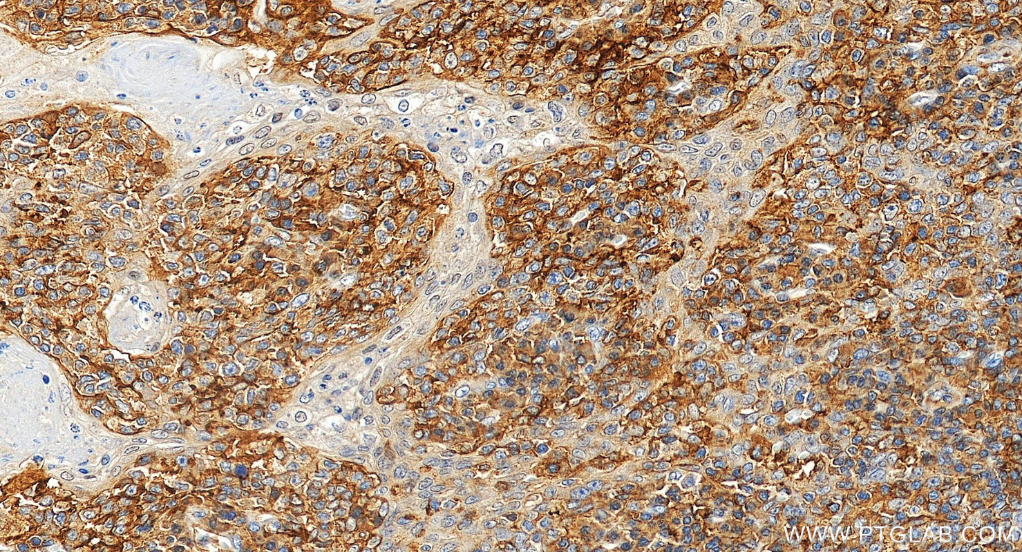
| Positive IHC detected in | human tonsillitis tissue Note: suggested antigen retrieval with TE buffer pH 9.0; (*) Alternatively, antigen retrieval may be performed with citrate buffer pH 6.0 |
推荐稀释比
| 应用 | 推荐稀释比 |
|---|---|
| Western Blot (WB) | WB : 1:500-1:2000 |
| Immunohistochemistry (IHC) | IHC : 1:250-1:1000 |
| It is recommended that this reagent should be titrated in each testing system to obtain optimal results. | |
| Sample-dependent, Check data in validation data gallery. | |
产品信息
32754-1-AP targets LY75/DEC-205 in WB, IHC, ELISA applications and shows reactivity with human, mouse, rat samples.
| 经测试应用 | WB, IHC, ELISA Application Description |
| 经测试反应性 | human, mouse, rat |
| 免疫原 |
CatNo: Eg3439 Product name: Recombinant Human LY75/CD205 protein (rFc Tag) Source: mammalian cells-derived, pHZ-KIsec-C-rFc Tag: C-rFc Domain: 28-1666 aa of NM_002349.4 Sequence: SGRAANDPFTIVHGNTGKCIKPVYGWIVADDCDETEDKLWKWVSQHRLFHLHSQKCLGLDITKSVNELRMFSCDSSAMLWWKCEHHSLYGAARYRLALKDGHGTAISNASDVWKKGGSEESLCDQPYHEIYTRDGNSYGRPCEFPFLIDGTWHHDCILDEDHSGPWCATTLNYEYDRKWGICLKPENGCEDNWEKNEQFGSCYQFNTQTALSWKEAYVSCQNQGADLLSINSAAELTYLKEKEGIAKIFWIGLNQLYSARGWEWSDHKPLNFLNWDPDRPSAPTIGGSSCARMDAESGLWQSFSCEAQLPYVCRKPLNNTVELTDVWTYSDTRCDAGWLPNNGFCYLLVNESNSWDKAHAKCKAFSSDLISIHSLADVEVVVTKLHNEDIKEEVWIGLKNINIPTLFQWSDGTEVTLTYWDENEPNVPYNKTPNCVSYLGELGQWKVQSCEEKLKYVCKRKGEKLNDASSDKMCPPDEGWKRHGETCYKIYEDEVPFGTNCNLTITSRFEQEYLNDLMKKYDKSLRKYFWTGLRDVDSCGEYNWATVGGRRRAVTFSNWNFLEPASPGGCVAMSTGKSVGKWEVKDCRSFKALSICKKMSGPLGPEEASPKPDDPCPEGWQSFPASLSCYKVFHAERIVRKRNWEEAERFCQALGAHLSSFSHVDEIKEFLHFLTDQFSGQHWLWIGLNKRSPDLQGSWQWSDRTPVSTIIMPNEFQQDYDIRDCAAVKVFHRPWRRGWHFYDDREFIYLRPFACDTKLEWVCQIPKGRTPKTPDWYNPDRAGIHGPPLIIEGSEYWFVADLHLNYEEAVLYCASNHSFLATITSFVGLKAIKNKIANISGDGQKWWIRISEWPIDDHFTYSRYPWHRFPVTFGEECLYMSAKTWLIDLGKPTDCSTKLPFICEKYNVSSLEKYSPDSAAKVQCSEQWIPFQNKCFLKIKPVSLTFSQASDTCHSYGGTLPSVLSQIEQDFITSLLPDMEATLWIGLRWTAYEKINKWTDNRELTYSNFHPLLVSGRLRIPENFFEEESRYHCALILNLQKSPFTGTWNFTSCSERHFVSLCQKYSEVKSRQTLQNASETVKYLNNLYKIIPKTLTWHSAKRECLKSNMQLVSITDPYQQAFLSVQALLHNSSLWIGLFSQDDELNFGWSDGKRLHFSRWAETNGQLEDCVVLDTDGFWKTVDCNDNQPGAICYYSGNETEKEVKPVDSVKCPSPVLNTPWIPFQNCCYNFIITKNRHMATTQDEVHTKCQKLNPKSHILSIRDEKENNFVLEQLLYFNYMASWVMLGITYRNKSLMWFDKTPLSYTHWRAGRPTIKNEKFLAGLSTDGFWDIQTFKVIEEAVYFHQHSILACKIEMVDYKEEYNTTLPQFMPYEDGIYSVIQKKVTWYEALNMCSQSGGHLASVHNQNGQLFLEDIVKRDGFPLWVGLSSHDGSESSFEWSDGSTFDYIPWKGQTSPGNCVLLDPKGTWKHEKCNSVKDGAICYKPTKSKKLSRLTYSSRCPAAKENGSRWIQYKGHCYKSDQALHSFSEAKKLCSKHDHSATIVSIKDEDENKFVSRLMRENNNITMRVWLGLSQHSVDQSWSWLDGSEVTFVKWENKSKSGVGRCSMLIASNETWKKVECEHGFGRVVCKVPLGPD 种属同源性预测 |
| 宿主/亚型 | Rabbit / IgG |
| 抗体类别 | Polyclonal |
| 产品类型 | Antibody |
| 全称 | lymphocyte antigen 75 |
| 别名 | CD 205, LY75, CD205, DEC 205, DEC-205 |
| 计算分子量 | 198kDa |
| 观测分子量 | 198-250 kDa |
| GenBank蛋白编号 | NM_002349.4 |
| 基因名称 | CD205 |
| Gene ID (NCBI) | 4065 |
| 偶联类型 | Unconjugated |
| 形式 | Liquid |
| 纯化方式 | Antigen affinity Purification |
| UNIPROT ID | O60449-1 |
| 储存缓冲液 | PBS with 0.02% sodium azide and 50% glycerol, pH 7.3. |
| 储存条件 | Store at -20°C. Stable for one year after shipment. Aliquoting is unnecessary for -20oC storage. |
背景介绍
LY75, also known as DEC-205 or CD205, is a type I transmembrane protein belonging to the C-type lectin receptor family. It is primarily expressed on dendritic cells (DCs) and thymic epithelium, but is also found on monocytes, T and B lymphocytes, and various other tissues, including intestinal and pulmonary epithelia.
实验方案
| Product Specific Protocols | |
|---|---|
| IHC protocol for LY75/DEC-205 antibody 32754-1-AP | Download protocol |
| WB protocol for LY75/DEC-205 antibody 32754-1-AP | Download protocol |
| Standard Protocols | |
|---|---|
| Click here to view our Standard Protocols |



