验证数据展示
产品信息
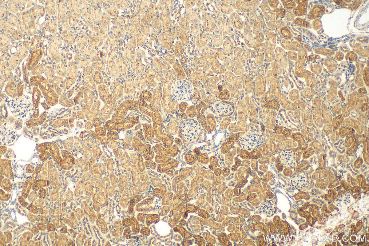
15095-1-PBS targets LGMN in WB, IHC, Indirect ELISA applications and shows reactivity with human, mouse samples.
| 经测试应用 | WB, IHC, Indirect ELISA Application Description |
| 经测试反应性 | human, mouse |
| 免疫原 |
CatNo: Ag7170 Product name: Recombinant human LGMN protein Source: e coli.-derived, PGEX-4T Tag: GST Domain: 82-433 aa of BC003061 Sequence: TPGIVINRPNGTDVYQGVPKDYTGEDVTPQNFLAVLRGDAEAVKGIGSGKVLKSGPQDHVFIYFTDHGSTGILVFPNEDLHVKDLNETIHYMYKHKMYRKMVFYIEACESGSMMNHLPDNINVYATTAANPRESSYACYYDEKRSTYLGDWYSVNWMEDSDVEDLTKETLHKQYHLVKSHTNTSHVMQYGNKTISTMKVMQFQGMKRKASSPVPLPPVTHLDLTPSPDVPLTIMKRKLMNTNDLEESRQLTEEIQRHLDARHLIEKSVRKIVSLLAASEAEVEQLLSERAPLTGHSCYPEALLHFRTHCFNWHSPTYEYALRHLYVLVNLCEKPYPLHRIKLSMDHVCLGHY 种属同源性预测 |
| 宿主/亚型 | Rabbit / IgG |
| 抗体类别 | Polyclonal |
| 产品类型 | Antibody |
| 全称 | legumain |
| 别名 | |
| 计算分子量 | 49 kDa |
| 观测分子量 | 36 kDa |
| GenBank蛋白编号 | BC003061 |
| 基因名称 | LGMN |
| Gene ID (NCBI) | 5641 |
| 偶联类型 | Unconjugated |
| 形式 | Liquid |
| 纯化方式 | Antigen affinity purification |
| UNIPROT ID | Q99538 |
| 储存缓冲液 | PBS only, pH 7.3. |
| 储存条件 | Store at -80°C. The product is shipped with ice packs. Upon receipt, store it immediately at -80°C |
背景介绍
LGMN (Legumain), also known as asparaginyl endopeptidase or AEP, is a broadly expressed lysosomal cysteine endopeptidase that belongs to peptidase family C13 and specifcally hydrolyzes substrate asparaginyl bonds (PMID: 9065484). LGMN directly regulates diverse physiological and pathological processes by remodeling tissue-specific targets (PMID: 25205715, 21292981, 18820679). In addition, LGMN indirectly contributes to atherosclerotic plaque instability through activation of cathepsin L in the arterial ECM (PMID: 19671471, 18377911). LGMN is secreted as inactive prolegumain (56 kDa) and processed into enzymatically active 46 and 36 kDa forms, as well as a 17 kDa enzymatically inactive C-terminal fragment (PMID: 28162997, PMID: 19671471).


