IHCeasy® NFE2L2/NRF2 Ready-To-Use IHC Kit
NFE2L2/NRF2 Ready-to-use reagent kit for IHC.
Reactivity
Human, Mouse, Rat
Sample Type
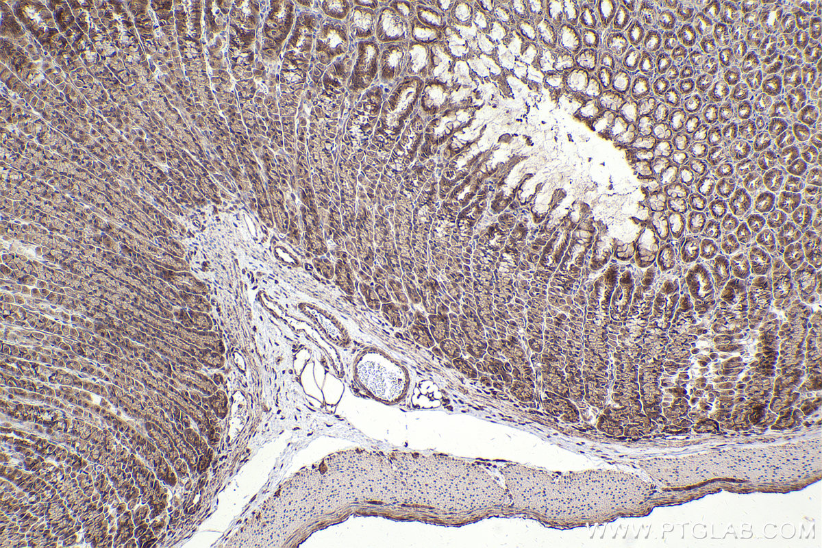
FFPE tissue
Cat no : KHC2502
Synonyms
NFE2L2,NRF2,HEBP1,NF-E2-related factor 2,NFE2-rela
Validation Data Gallery
Product Information
KHC2502 is a ready-to-use IHC kit for staining of NFE2L2/NRF2. The kit provides all reagents, from antigen retrieval to cover slip mounting, that require little to no diluting or handling prior to use. Simply apply the reagents to your sample slide according to the protocol and you're steps away from obtaining high-quality IHC data.
| Product name | IHCeasy NFE2L2/NRF2 Ready-To-Use IHC Kit |
| Sample type | FFPE tissue |
| Assay type | Immunohistochemistry |
| Primary antibody type | Rabbit Polyclonal |
| Secondary antibody type | Polymer-HRP-Goat anti-Rabbit |
| Reactivity | Human, Mouse, Rat |
Kit components
| Component | Size | Concentration |
|---|---|---|
| Antigen Retrieval Buffer | 100 mL | 50× |
| Washing Buffer | 100 mL ×2 | 20× |
| Blocking Buffer | 5 mL | RTU |
| Primary Antibody | 5 mL | RTU |
| Secondary Antibody | 5 mL | RTU |
| Chromogen Component A | 0.2 mL | RTU |
| Chromogen Component B | 4 mL | RTU |
| Signal Enhancer | 5 mL | RTU |
| Counter Staining Reagent | 5 mL | RTU |
| Mounting Media | 5 mL | RTU |
| Datasheet | 1 Copy | |
| Manual | 1 Copy |
Background Information
NRF2, also named as NFE2L2, belongs to the bZIP family and CNC subfamily. It is a transcription activator that binds to antioxidant response (ARE) elements in the promoter regions of target genes. NRF2 is important for the coordinated up-regulation of genes in response to oxidative stress. It may be involved in the transcriptional activation of genes of the beta-globin cluster by mediating enhancer activity of hypersensitive site 2 of the beta-globin locus control region. Nrf2 is a key player in the regulation of genes encoding for many antioxidative response enzymes. The expression of NRF2 may be induced under oxidative stress. In lung cancer, Nrf2 activation in malignant cells has been associated with tumor progression and chemotherapy resistance. Identifying patients with abnormal NRF2 expression may be important for selection for chemotherapy in NSCLC.
Properties
| Storage Instructions | All the reagents are stored at 2-8°C. The kit is stable for 6 months from the date of receipt. |
| Synonyms | NFE2L2,NRF2,HEBP1,NF-E2-related factor 2,NFE2-rela |





