验证数据展示
经过测试的应用
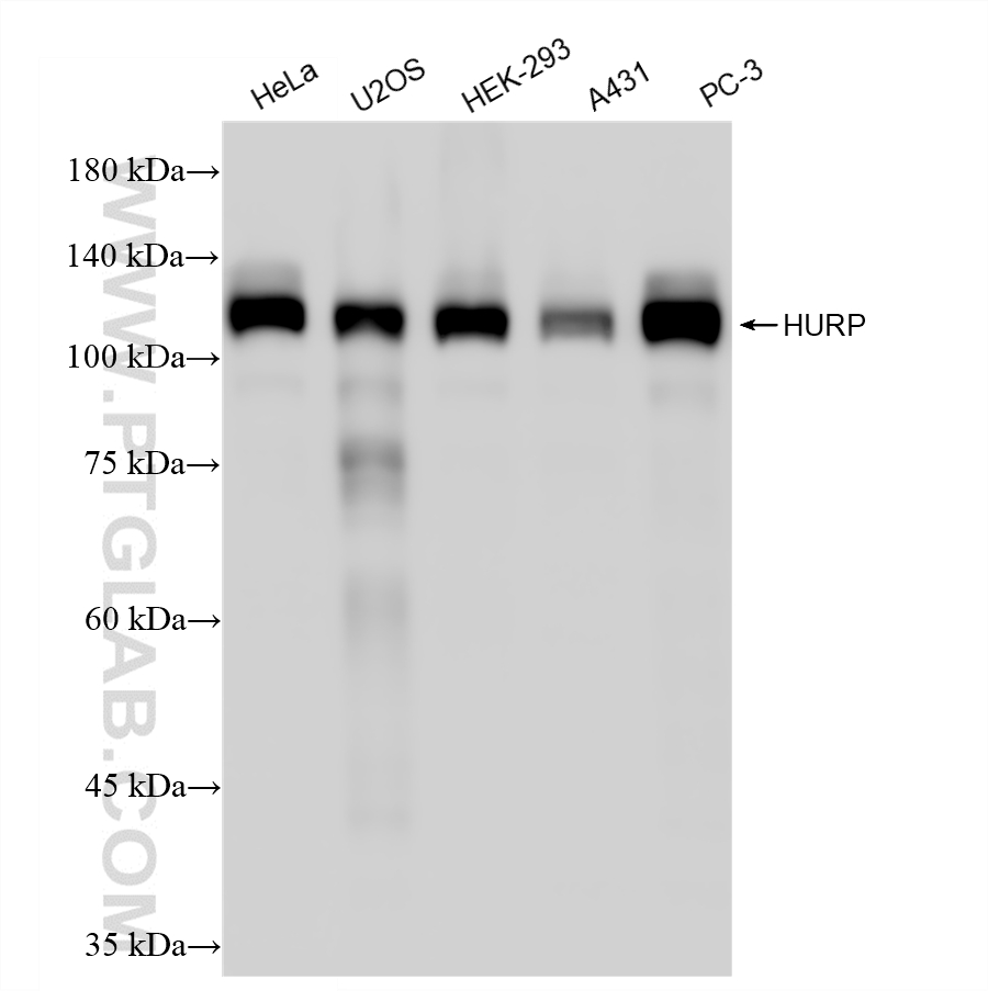
| Positive WB detected in | HeLa cells, U2OS cells, HEK-293 cells, A431 cells, PC-3 cells |
推荐稀释比
| 应用 | 推荐稀释比 |
|---|---|
| Western Blot (WB) | WB : 1:5000-1:50000 |
| It is recommended that this reagent should be titrated in each testing system to obtain optimal results. | |
| Sample-dependent, Check data in validation data gallery. | |
产品信息
86704-1-RR targets HURP in WB, ELISA applications and shows reactivity with human samples.
| 经测试应用 | WB, ELISA Application Description |
| 经测试反应性 | human |
| 免疫原 |
CatNo: Ag2667 Product name: Recombinant human HURP protein Source: e coli.-derived, PGEX-4T Tag: GST Domain: 498-847 aa of BC010658 Sequence: IKETTCTDLDGFWDMVSFQIEDVIHKFNNLIKLEESGWQVNNNMNHNMNKNVFRKKVVSGIASKPKQDDAGRIAARNRLAAIKNAMRERIRQEECAETAVSVIPKEVDKIVFDAGFFRVESPVKLFSGLSVSSEGPSQRLGTPKSVNKAVSQSRNEMGIPQQTTSPENAGPQNTKSEHVKKTLFLSIPESRSSIEDAQCPGLPDLIEENHVVNKTDLKVDCLSSERMSLPLLAGGVADDINTNKKEGISDVVEGMELNSSITSQDVLMSSPEKNTASQNSILEEGETKISQSELFDNKSLTTECHLLDSPGLNCSNPFTQLERRHQEHARHISFGGNLITFSPLQPGEF 种属同源性预测 |
| 宿主/亚型 | Rabbit / IgG |
| 抗体类别 | Recombinant |
| 产品类型 | Antibody |
| 全称 | discs, large (Drosophila) homolog-associated protein 5 |
| 别名 | DAP-5, Discs large homolog 7, Disks large-associated protein 5, Disks large-associated protein DLG7, DLG7 |
| 计算分子量 | 846 aa, 95 kDa |
| 观测分子量 | 120 kDa |
| GenBank蛋白编号 | BC010658 |
| 基因名称 | HURP |
| Gene ID (NCBI) | 9787 |
| 偶联类型 | Unconjugated |
| 形式 | Liquid |
| 纯化方式 | Protein A purification |
| UNIPROT ID | Q15398 |
| 储存缓冲液 | PBS with 0.02% sodium azide and 50% glycerol, pH 7.3. |
| 储存条件 | Store at -20°C. Stable for one year after shipment. Aliquoting is unnecessary for -20oC storage. |
实验方案
| Product Specific Protocols | |
|---|---|
| WB protocol for HURP antibody 86704-1-RR | Download protocol |
| Standard Protocols | |
|---|---|
| Click here to view our Standard Protocols |

