验证数据展示
产品信息
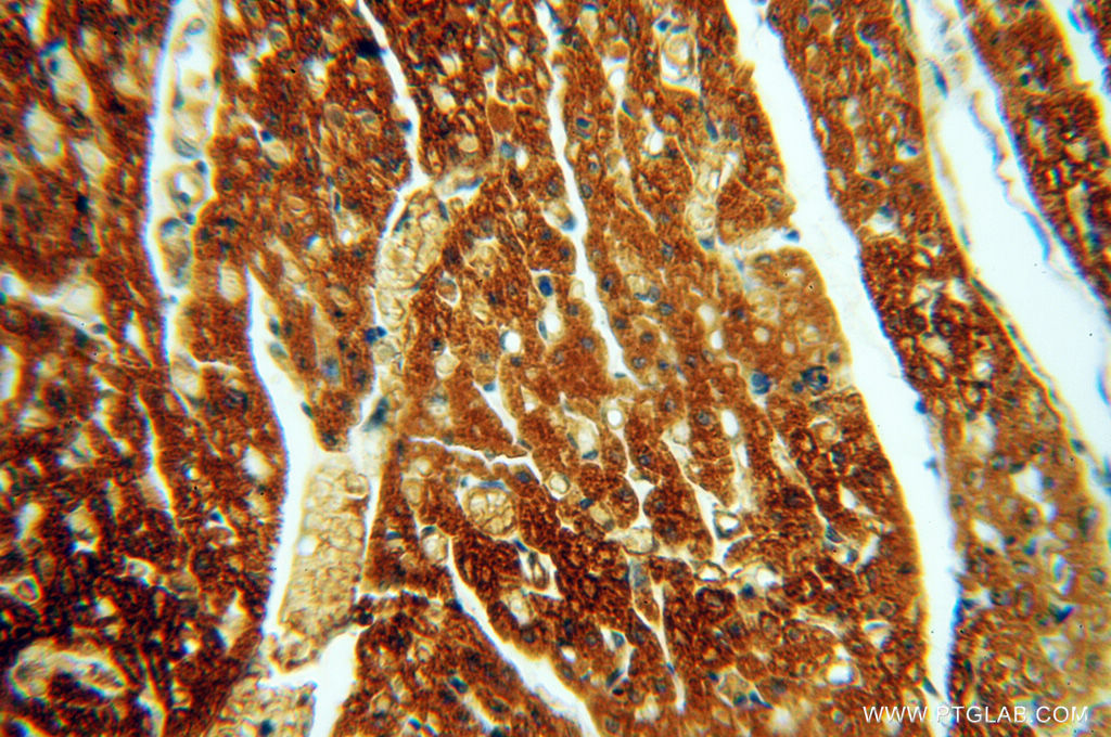
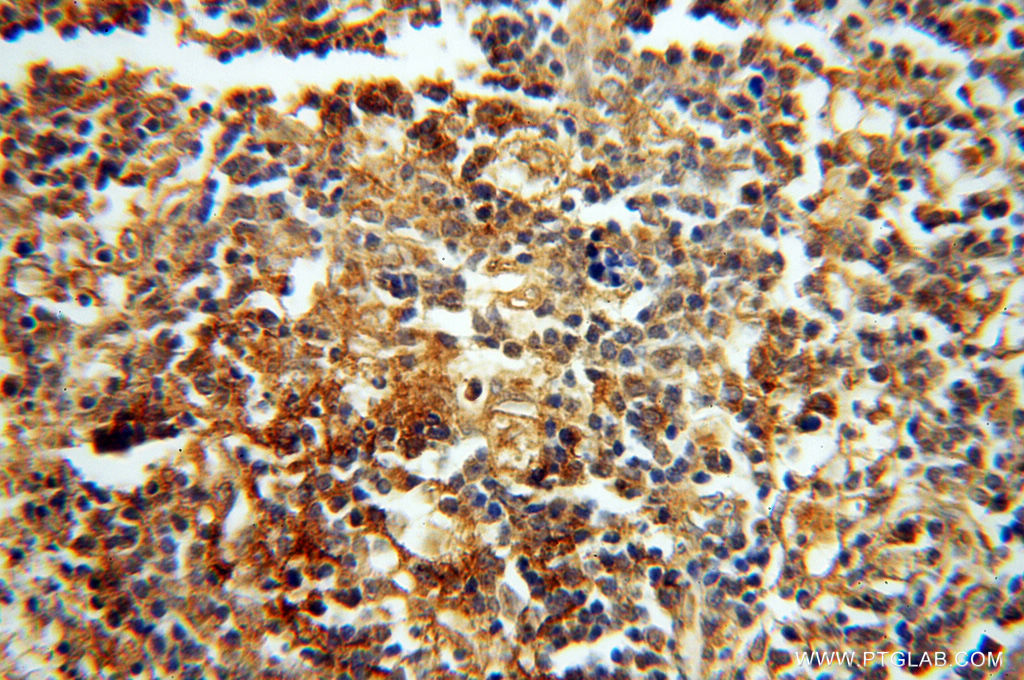
17581-1-PBS targets HRASLS5 in IHC, Indirect ELISA applications and shows reactivity with human samples.
| 经测试应用 | IHC, Indirect ELISA Application Description |
| 经测试反应性 | human |
| 免疫原 |
CatNo: Ag11113 Product name: Recombinant human HRASLS5 protein Source: e coli.-derived, PET28a Tag: 6*His Domain: 1-269 aa of BC034222 Sequence: MGLSPGAEGEYALRLPRIPPPLPKPASRTAGTGPKDQPPALRRSAVPHSEESVGFAALVQLPAKQPPPGTLEQGRSIQQGEKAVVSLETTPSQKADWSSIPKPENEGKLIKQAAEGKPRPRPGDLIEIFRIGYEHWAIYVEDDCVVHLAPPSEEFEVGSITSIFSNRAVVKYSRLEDVLHGCSWKVNNKLDGTYLPLPVDKIIQRTKKMVNKIVQYSLIEGNCEHFVNGLRYGVPRSQQVEHALMEGAKAAGAVISAVVDSIKPKPITA 种属同源性预测 |
| 宿主/亚型 | Rabbit / IgG |
| 抗体类别 | Polyclonal |
| 产品类型 | Antibody |
| 全称 | HRAS-like suppressor family, member 5 |
| 别名 | |
| 计算分子量 | 269 aa, 29 kDa |
| GenBank蛋白编号 | BC034222 |
| 基因名称 | HRASLS5 |
| Gene ID (NCBI) | 117245 |
| RRID | AB_2233327 |
| 偶联类型 | Unconjugated |
| 形式 | Liquid |
| 纯化方式 | Antigen affinity purification |
| UNIPROT ID | Q96KN8 |
| 储存缓冲液 | PBS only, pH 7.3. |
| 储存条件 | Store at -80°C. The product is shipped with ice packs. Upon receipt, store it immediately at -80°C |









