验证数据展示
经过测试的应用
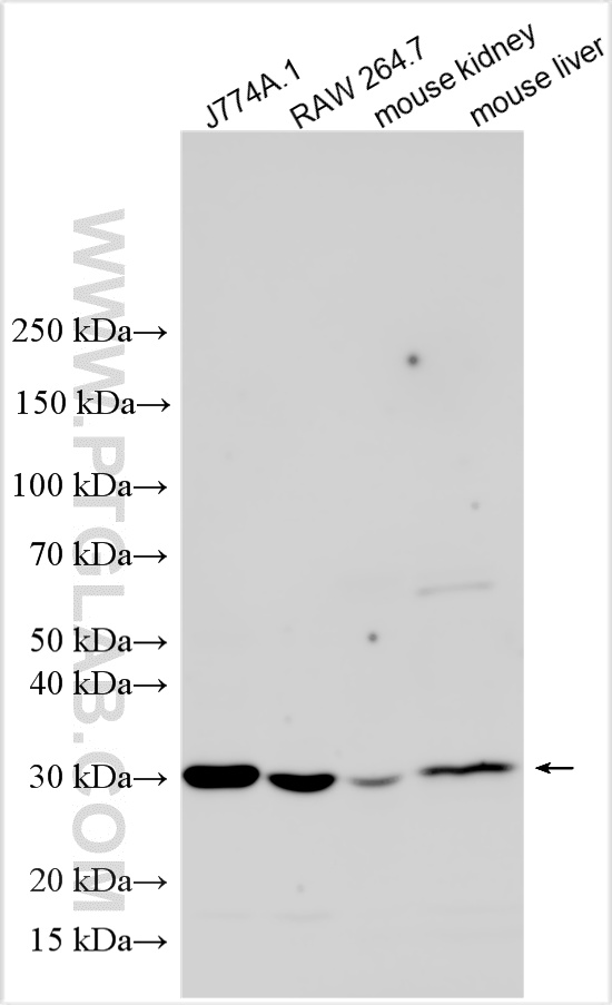
| Positive WB detected in | J774A.1 cells, RAW 264.7 cells, RAW 264.7 cells mouse kidney tissue mouse liver tissue |
推荐稀释比
| 应用 | 推荐稀释比 |
|---|---|
| Western Blot (WB) | WB : 1:2000-1:16000 |
| It is recommended that this reagent should be titrated in each testing system to obtain optimal results. | |
| Sample-dependent, Check data in validation data gallery. | |
产品信息
31253-1-AP targets HO-1/Hmox1 in WB, ELISA applications and shows reactivity with mouse samples.
| 经测试应用 | WB, ELISA Application Description |
| 经测试反应性 | mouse |
| 免疫原 |
CatNo: Eg0938 Product name: Recombinant mouse HO-1/Hmox1 protein Source: mammalian cells-derived, pHZ-KIsec-C-6*HIS Tag: C-6*HIS Domain: 1-266 aa of NM_010442.2 Sequence: MERPQPDSMPQDLSEALKEATKEVHIQAENAEFMKNFQKGQVSREGFKLVMASLYHIYTALEEEIERNKQNPVYAPLYFPEELHRRAALEQDMAFWYGPHWQEIIPCTPATQHYVKRLHEVGRTHPELLVAHAYTRYLGDLSGGQVLKKIAQKAMALPSSGEGLAFFTFPNIDSPTKFKQLYRARMNTLEMTPEVKHRVTEEAKTAFLLNIELFEELQVMLTEEHKDQSPSQMASLRQRPASLVQDTAPAETPRGKPQISTSSSQT 种属同源性预测 |
| 宿主/亚型 | Rabbit / IgG |
| 抗体类别 | Polyclonal |
| 产品类型 | Antibody |
| 全称 | heme oxygenase (decycling) 1 |
| 别名 | Hmox1, HO-1, D8Wsu38e, heme oxygenase (decycling) 1, Hemox |
| 计算分子量 | 33 kDa |
| 观测分子量 | 33 kDa |
| GenBank蛋白编号 | NM_010442.2 |
| 基因名称 | HO-1 |
| Gene ID (NCBI) | 15368 |
| 偶联类型 | Unconjugated |
| 形式 | Liquid |
| 纯化方式 | Antigen affinity purification |
| UNIPROT ID | P14901 |
| 储存缓冲液 | PBS with 0.02% sodium azide and 50% glycerol, pH 7.3. |
| 储存条件 | Store at -20°C. Stable for one year after shipment. Aliquoting is unnecessary for -20oC storage. |
背景介绍
Heme Oxygenase-1 (HO-1) is a stress-inducible enzyme that plays a crucial role in cellular and tissue homeostasis. It is the rate-limiting enzyme responsible for the oxidative degradation of heme, producing carbon monoxide (CO), free iron, and biliverdin. Biliverdin is subsequently converted to bilirubin by biliverdin reductase. These byproducts have significant biological activities, contributing to HO-1's anti-inflammatory, cytoprotective, and immunomodulatory effects. (PMID: 33923744)
实验方案
| Product Specific Protocols | |
|---|---|
| WB protocol for HO-1/Hmox1 antibody 31253-1-AP | Download protocol |
| Standard Protocols | |
|---|---|
| Click here to view our Standard Protocols |

