验证数据展示
经过测试的应用
| Positive WB detected in | HeLa cells, Jurkat cells, THP-1 cells, HEK-293T cells |
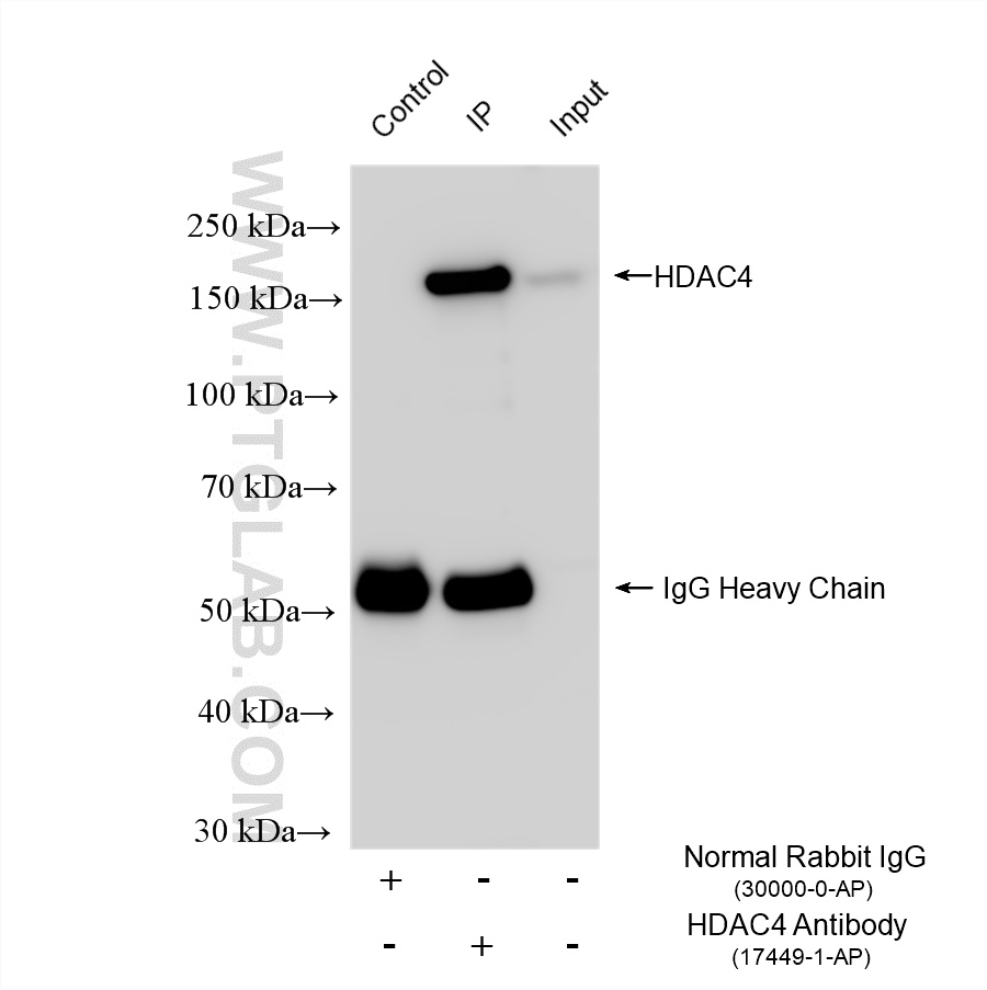
| Positive IP detected in | Jurkat cells, HeLa cells |
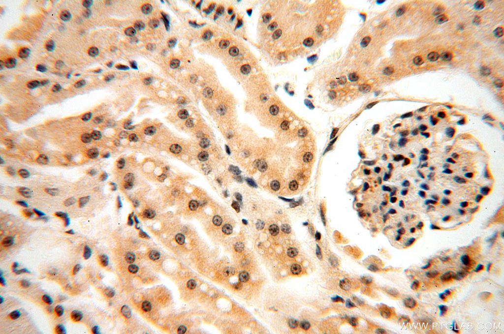
| Positive IHC detected in | human kidney tissue, human cervical cancer tissue Note: suggested antigen retrieval with TE buffer pH 9.0; (*) Alternatively, antigen retrieval may be performed with citrate buffer pH 6.0 |
| Positive IF-P detected in | mouse liver tissue |
This antibody is not recommended for WB assays of mouse samples.
推荐稀释比
| 应用 | 推荐稀释比 |
|---|---|
| Western Blot (WB) | WB : 1:1000-1:4000 |
| Immunoprecipitation (IP) | IP : 0.5-4.0 ug for 1.0-3.0 mg of total protein lysate |
| Immunohistochemistry (IHC) | IHC : 1:20-1:200 |
| Immunofluorescence (IF)-P | IF-P : 1:200-1:800 |
| It is recommended that this reagent should be titrated in each testing system to obtain optimal results. | |
| Sample-dependent, Check data in validation data gallery. | |
产品信息
17449-1-AP targets HDAC4 in WB, IHC, IF-P, IP, CoIP, chIP, ELISA applications and shows reactivity with human, mouse samples.
| 经测试应用 | WB, IHC, IF-P, IP, ELISA Application Description |
| 文献引用应用 | WB, IHC, IF, IP, CoIP, chIP |
| 经测试反应性 | human, mouse |
| 文献引用反应性 | human, mouse |
| 免疫原 |
CatNo: Ag11572 Product name: Recombinant human HDAC4 protein Source: e coli.-derived, PGEX-4T Tag: GST Domain: 623-972 aa of BC039904 Sequence: SKKLLGSLASVFVRLPCGGVGVDSDTIWNEVHSAGAARLAVGCVVELVFKVATGELKNGFAVVRPPGHHAEESTPMGFCYFNSVAVAAKLLQQRLSVSKILIVDWDVHHGNGTQQAFYSDPSVLYMSLHRYDDGNFFPGSGAPDEVGTGPGVGFNVNMAFTGGLDPPMGDAEYLAAFRTVVMPIASEFAPDVVLVSSGFDAVEGHPTPLGGYNLSARCFGYLTKQLMGLAGGRIVLALEGGHDLTAICDASEACVSALLGNELDPLPEKVLQQRPNANAVRSMEKVMEIHSKYWRCLQRTTSTAGRSLIEAQTCENEEAETVTAMASLSVGVKPAEKRPDEEPMEEEPPL 种属同源性预测 |
| 宿主/亚型 | Rabbit / IgG |
| 抗体类别 | Polyclonal |
| 产品类型 | Antibody |
| 全称 | histone deacetylase 4 |
| 别名 | EC:3.5.1.98, HD4, KIAA0288 |
| 计算分子量 | 972 aa, 106 kDa |
| 观测分子量 | 119-140 kDa |
| GenBank蛋白编号 | BC039904 |
| 基因名称 | HDAC4 |
| Gene ID (NCBI) | 9759 |
| RRID | AB_2118864 |
| 偶联类型 | Unconjugated |
| 形式 | Liquid |
| 纯化方式 | Antigen affinity purification |
| UNIPROT ID | P56524 |
| 储存缓冲液 | PBS with 0.02% sodium azide and 50% glycerol, pH 7.3. |
| 储存条件 | Store at -20°C. Stable for one year after shipment. Aliquoting is unnecessary for -20oC storage. |
背景介绍
HDAC4, also named as HDACA, belongs to the histone deacetylase family. HDAC4 is responsible for the deacetylation of lysine residues on the N-terminal part of the core histones (H2A, H2B, H3 and H4). Histone deacetylation gives a tag for epigenetic repression and plays an important role in transcriptional regulation, cell cycle progression and developmental events. Histone deacetylases act via the formation of large multiprotein complexes. HDAC4 is Involved in muscle maturation via its interaction with the myocyte enhancer factors such as MEF2A, MEF2C and MEF2D. This antibody is a rabbit polyclonal antibody raised against an internal region of human HDAC4. The calculated molecular weight of HDAC4 is 106 kDa, but modified HDAC4 is about 140 kDa.
实验方案
| Product Specific Protocols | |
|---|---|
| IF protocol for HDAC4 antibody 17449-1-AP | Download protocol |
| IHC protocol for HDAC4 antibody 17449-1-AP | Download protocol |
| IP protocol for HDAC4 antibody 17449-1-AP | Download protocol |
| WB protocol for HDAC4 antibody 17449-1-AP | Download protocol |
| Standard Protocols | |
|---|---|
| Click here to view our Standard Protocols |
发表文章
| Species | Application | Title |
|---|---|---|
Cell MicroRNA Directly Enhances Mitochondrial Translation during Muscle Differentiation.
| ||
Hepatology Histone Deacetylase 4 promotes cholestatic liver injury in the absence of Prohibitin-1.
| ||
Kidney Int Histone deacetylase 4 selectively contributes to podocyte injury in diabetic nephropathy.
| ||
Mol Ther Nucleic Acids Transcriptional Factor Yin Yang 1 Promotes the Stemness of Breast Cancer Cells by Suppressing miR-873-5p Transcriptional Activity. | ||
J Virol IFI16 recruits HDAC1 and HDAC2 to deacetylate the Kaposi's sarcoma-associated herpesvirus (KSHV) latency-associated nuclear antigen (LANA), facilitating latency | ||
J Cell Mol Med Low levels of AMPK promote epithelial-mesenchymal transition in lung cancer primarily through HDAC4- and HDAC5-mediated metabolic reprogramming.
|









