验证数据展示
经过测试的应用
| Positive WB detected in | U2OS cells, Jurkat cells, HEK-293 cells, LNCaP cells |
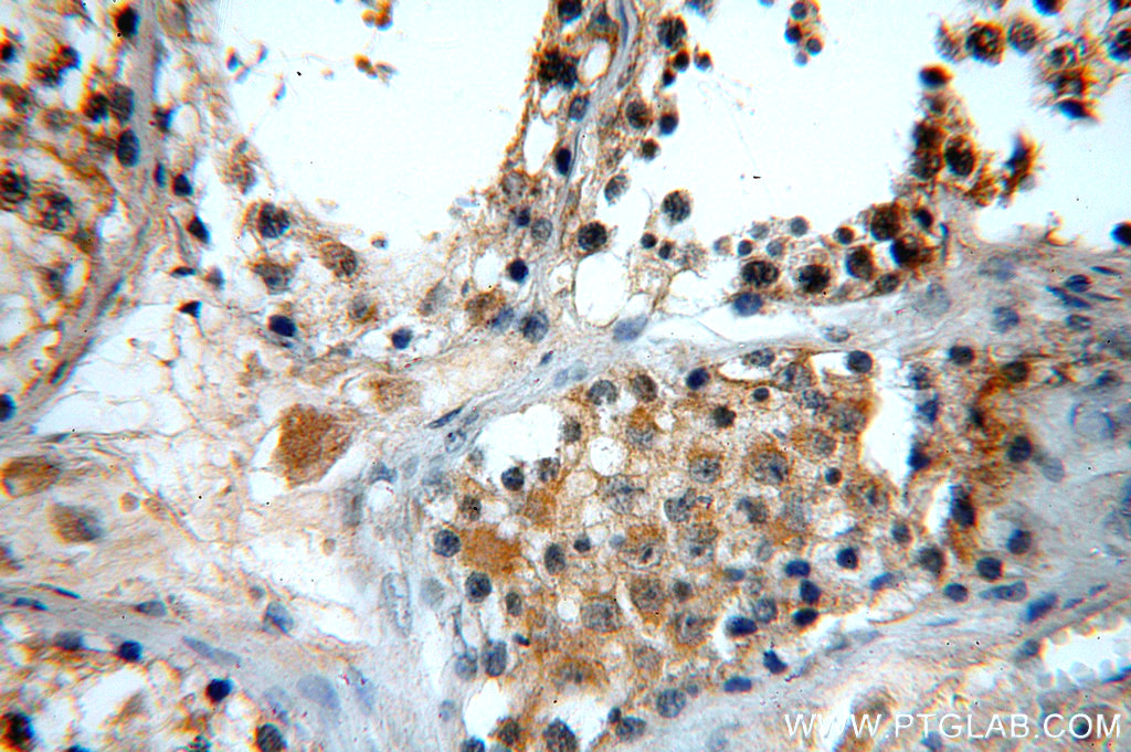
| Positive IHC detected in | human testis tissue Note: suggested antigen retrieval with TE buffer pH 9.0; (*) Alternatively, antigen retrieval may be performed with citrate buffer pH 6.0 |
推荐稀释比
| 应用 | 推荐稀释比 |
|---|---|
| Western Blot (WB) | WB : 1:500-1:2000 |
| Immunohistochemistry (IHC) | IHC : 1:20-1:200 |
| It is recommended that this reagent should be titrated in each testing system to obtain optimal results. | |
| Sample-dependent, Check data in validation data gallery. | |
发表文章中的应用
| KD/KO | See 1 publications below |
| WB | See 3 publications below |
产品信息
20133-1-AP targets GTPBP5 in WB, IHC, ELISA applications and shows reactivity with human, mouse, rat samples.
| 经测试应用 | WB, IHC, ELISA Application Description |
| 文献引用应用 | WB |
| 经测试反应性 | human, mouse, rat |
| 文献引用反应性 | human |
| 免疫原 |
CatNo: Ag14015 Product name: Recombinant human GTPBP5 protein Source: e coli.-derived, PGEX-4T Tag: GST Domain: 57-406 aa of BC036716 Sequence: LPGKKLLSEKKLKRYFVDYRRVLVCGGNGGAGASCFHSEPRKEFGGPDGGDGGNGGHVILRVDQQVKSLSSVLSRYQGFSGEDGGSKNCFGRSGAVLYIRVPVGTLVKEGGRVVADLSCVGDEYIAALGGAGGKGNRFFLANNNRAPVTCTPGQPGQQRVLHLELKTVAHAGMVGFPNAGKSSLLRAISNARPAVASYPFTTLKPHVGIVHYEGHLQIAVADIPGIIRGAHQNRGLGSAFLRHIERCRFLLFVVDLSQPEPWTQVDDLKYELEMYEKGLSARPHAIVANKIDLPEAQANLSQLRDHLGQEVIVLSALTGENLEQLLLHLKVLYDAYAEAELGQGRQPLRW 种属同源性预测 |
| 宿主/亚型 | Rabbit / IgG |
| 抗体类别 | Polyclonal |
| 产品类型 | Antibody |
| 全称 | GTP binding protein 5 (putative) |
| 别名 | GTP binding protein 5, GTPBP5, ObgH1, Protein obg homolog 1 |
| 计算分子量 | 406 aa, 44 kDa |
| 观测分子量 | 44 kDa |
| GenBank蛋白编号 | BC036716 |
| 基因名称 | GTPBP5 |
| Gene ID (NCBI) | 26164 |
| RRID | AB_10666316 |
| 偶联类型 | Unconjugated |
| 形式 | Liquid |
| 纯化方式 | Antigen affinity purification |
| UNIPROT ID | Q9H4K7 |
| 储存缓冲液 | PBS with 0.02% sodium azide and 50% glycerol, pH 7.3. |
| 储存条件 | Store at -20°C. Stable for one year after shipment. Aliquoting is unnecessary for -20oC storage. |
实验方案
| Product Specific Protocols | |
|---|---|
| IHC protocol for GTPBP5 antibody 20133-1-AP | Download protocol |
| WB protocol for GTPBP5 antibody 20133-1-AP | Download protocol |
| Standard Protocols | |
|---|---|
| Click here to view our Standard Protocols |
发表文章
| Species | Application | Title |
|---|---|---|
Cell Mol Life Sci GTPBP8 is required for mitoribosomal biogenesis and mitochondrial translation | ||
PLoS Genet RCC1L (WBSCR16) isoforms coordinate mitochondrial ribosome assembly through their interaction with GTPases. | ||
Invest Ophthalmol Vis Sci MTG2 as a Causal and Druggable Target in Uveal Melanoma via Mitochondrial DNA Dynamics: Evidence From Functional Validation and DMSA Identification.
|






