验证数据展示
产品信息
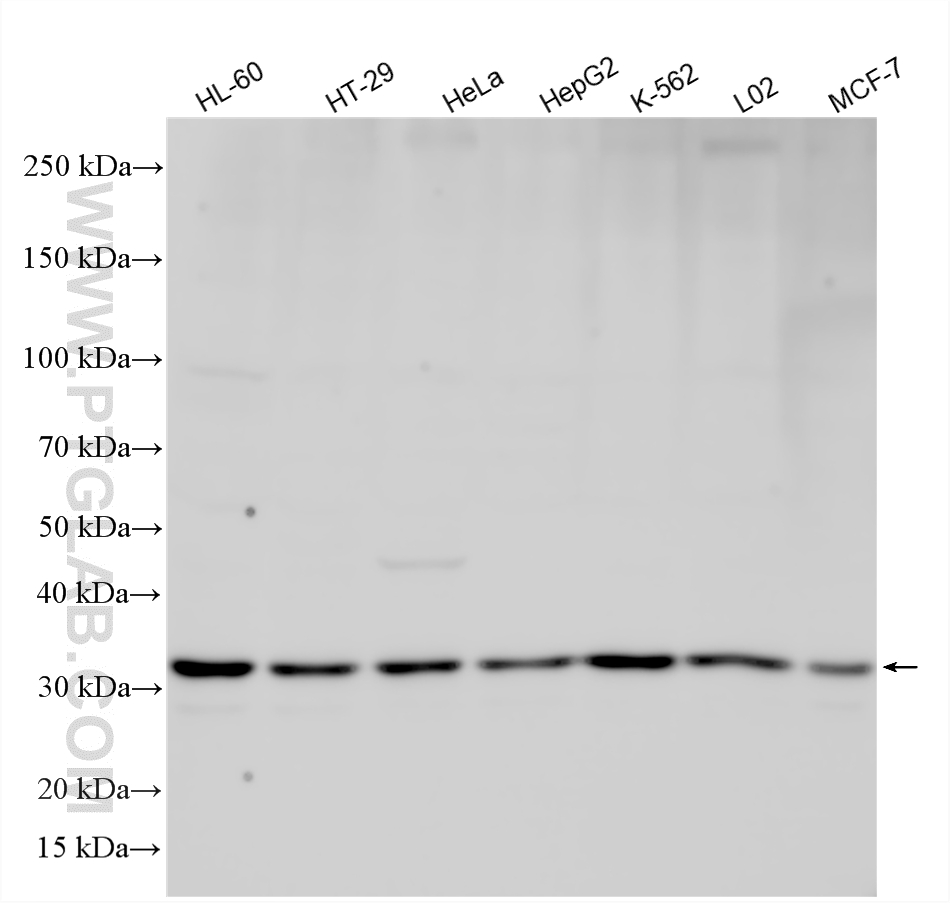
14857-1-PBS targets GTF2H3 in WB, Indirect ELISA applications and shows reactivity with human samples.
| 经测试应用 | WB, Indirect ELISA Application Description |
| 经测试反应性 | human |
| 免疫原 |
CatNo: Ag6652 Product name: Recombinant human GTF2H3 protein Source: e coli.-derived, PGEX-4T Tag: GST Domain: 24-210 aa of BC065250 Sequence: KQALKESQFTLSKCIDAVMVLGNSHLFMNRSNKLAVIASHIQESRFLYPGKNGRLGDFFGDPGNPPEFNPSGSKDGKYELLTSANEVIVEEIKDLMTKSDIKGQHTETLLAGSLAKALCYIHRMNKEVKDNQEMKSRILVIKAAEDSALQYMNFMNVIFAAQKQNILIDACVLDSDSGLLQQACDIT 种属同源性预测 |
| 宿主/亚型 | Rabbit / IgG |
| 抗体类别 | Polyclonal |
| 产品类型 | Antibody |
| 全称 | general transcription factor IIH, polypeptide 3, 34kDa |
| 别名 | BTF2, BTF2 p34, TFB4, TFIIH |
| 计算分子量 | 34 kDa |
| 观测分子量 | 30-34 kDa |
| GenBank蛋白编号 | BC065250 |
| 基因名称 | GTF2H3 |
| Gene ID (NCBI) | 2967 |
| 偶联类型 | Unconjugated |
| 形式 | Liquid |
| 纯化方式 | Antigen affinity purification |
| UNIPROT ID | Q13889 |
| 储存缓冲液 | PBS only, pH 7.3. |
| 储存条件 | Store at -80°C. The product is shipped with ice packs. Upon receipt, store it immediately at -80°C |
