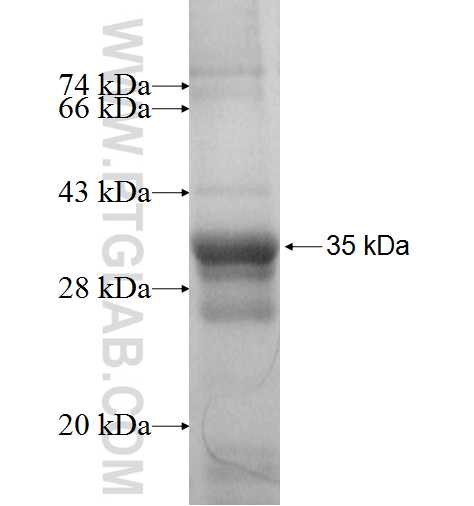
Recombinant human GPR162 protein
Source
e coli.-derived, PET28a
Tag
6*His
Format
Liquid
Species
human
Cat no : Ag7011
Synonyms
A-2; FLJ78837; GRCA
Validation Data Gallery View All
Product Information
| Peptide Sequence |
ERYRADVRTVWEQCVAIMSEEDGDDDGGCDDYAEGRVCKVRFDANGATGPGSRDPAQVKLLPGRHMLFPPLERVHYLQVPLSRRLSHDETNIFSTPREPGSFLHKWSSSDDIRVLPAQSRALGGPPEYLGQRHRLEDEEDEEEAEGGGLASLRQFLESGVLGSGGGPPRGPGFFREEITTFIDETPLPSPTASPGHSPRRPRPLGLSPRRLSLGSPESRAVGLPLGLSAGRRCSLTGGEESARAWGGSWGPGNPIFPQLTL
(328-588 aa encoded by BC002353) |
| Activity | Not tested. |
| Endotoxin Level |
Please contact the lab for more information.
Note:Remove endotoxin and sterilization is required for cell assay. |
