验证数据展示
产品信息
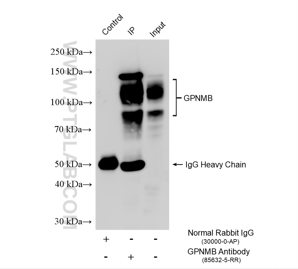
85632-5-PBS targets GPNMB in WB, IP, Indirect ELISA applications and shows reactivity with rat samples.
| 经测试应用 | WB, IP, Indirect ELISA Application Description |
| 经测试反应性 | rat |
| 免疫原 |
CatNo: Eg3283 Product name: Recombinant Rat Osteoactivin/GPNMB protein (rFc Tag) Source: mammalian cells-derived, pHZ-KIsec-C-rFc Tag: C-rFc Domain: 23-498 aa of NM_133298.1 Sequence: KRFRDVLGHEQYPDHMRENNQLRGWSSDENEWDEQLYPVWRRGEGRWKDSWEGGRVQAALTSDSPALVGSNITFVVNLVFPRCQKEDANGNIVYERNCRSDLELASDPYVYNWTTGADDEDWEDNTSQGQHLRFPDGKPFPRPHGRKKWNFVYVFHTLGQYFQKLGQCSARVSINTVNLTVGPQVMEVIVFRRHGRAYIPISKVKDVYVITDQIPIFVTMYQKNDRNSSDETFLRDLPIFFDVLIHDPSHFLNYSAISYKWNFGDNTGLFVSNNHTLNHTYVLNGTFNFNLTVQTAVPGPCPSPTPSPSSSTSPSPASSPSPTLSTPSPSLMPTGYKSMELSDISNENCRINRYGYFRATITIVDGILEVNIIQVADVPIPTLQPDNSLMDFIVTCKGATPTEACTIISDPTCQIAQNRVCSPVAVDELCLLSVRRAFNGSGTYCVNFTLGDDASLALTSALISIPGKDLGSPLRT 种属同源性预测 |
| 宿主/亚型 | Rabbit / IgG |
| 抗体类别 | Recombinant |
| 产品类型 | Antibody |
| 全称 | glycoprotein (transmembrane) nmb |
| 别名 | Osteoactivin |
| 计算分子量 | 64 kDa |
| 观测分子量 | 120 kDa, 95 kDa |
| GenBank蛋白编号 | NM_133298.1 |
| 基因名称 | Gpnmb |
| Gene ID (NCBI) | 113955 |
| 偶联类型 | Unconjugated |
| 形式 | Liquid |
| 纯化方式 | Protein A purification |
| UNIPROT ID | Q9QZF6 |
| 储存缓冲液 | PBS only, pH 7.3. |
| 储存条件 | Store at -80°C. The product is shipped with ice packs. Upon receipt, store it immediately at -80°C |
背景介绍
GPNMB also known as HGFIN, osteoactivin, and DC-HIL, is a type I membrane glycoprotein involved in various biological processes, including inflammation, invasion and metastasis of malignant tumors, cell differentiation, and tissue regeneration. GPNMB shows expression in the lowly metastatic human melanoma cell lines and xenografts but does not show expression in the highly metastatic cell lines. GPNMB acts as an osteogenic factor that stimulates osteoblast differentiation in vivo and in vitro.

