验证数据展示
经过测试的应用
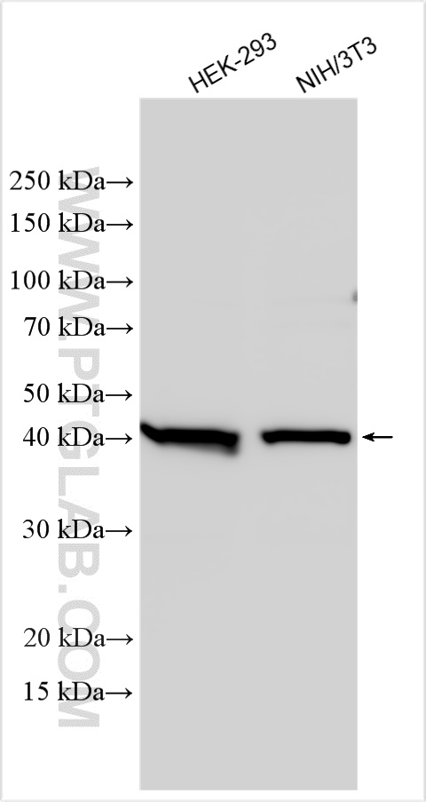
| Positive WB detected in | HEK-293 cells, NIH/3T3 cells |
| Positive IF-P detected in | mouse brain tissue |
推荐稀释比
| 应用 | 推荐稀释比 |
|---|---|
| Western Blot (WB) | WB : 1:500-1:2000 |
| Immunofluorescence (IF)-P | IF-P : 1:50-1:500 |
| It is recommended that this reagent should be titrated in each testing system to obtain optimal results. | |
| Sample-dependent, Check data in validation data gallery. | |
发表文章中的应用
| WB | See 2 publications below |
产品信息
29749-1-AP targets FGF10 in WB, IF-P, ELISA applications and shows reactivity with Human, Mouse samples.
| 经测试应用 | WB, IF-P, ELISA Application Description |
| 文献引用应用 | WB |
| 经测试反应性 | Human, Mouse |
| 文献引用反应性 | mouse |
| 免疫原 |
CatNo: Ag31278 Product name: Recombinant human FGF10 protein Source: e coli.-derived, PGEX-4T Tag: GST Domain: 38-150 aa of BC105021 Sequence: QALGQDMVSPEATNSSSSSFSSPSSAGRHVRSYNHLQGDVRWRKLFSFTKYFLKIEKNGKVSGTKKENCPYSILEITSVEIGVVAVKAINSNYYLAMNKKGKLYGSKEFNNDC 种属同源性预测 |
| 宿主/亚型 | Rabbit / IgG |
| 抗体类别 | Polyclonal |
| 产品类型 | Antibody |
| 全称 | fibroblast growth factor 10 |
| 别名 | FGF 10, FGF10, fibroblast growth factor 10, Keratinocyte growth factor 2 |
| 观测分子量 | 40 kDa |
| GenBank蛋白编号 | BC105021 |
| 基因名称 | FGF10 |
| Gene ID (NCBI) | 2255 |
| RRID | AB_2918343 |
| 偶联类型 | Unconjugated |
| 形式 | Liquid |
| 纯化方式 | Antigen affinity purification |
| UNIPROT ID | O15520 |
| 储存缓冲液 | PBS with 0.02% sodium azide and 50% glycerol, pH 7.3. |
| 储存条件 | Store at -20°C. Stable for one year after shipment. Aliquoting is unnecessary for -20oC storage. |
背景介绍
FGF10 belongs to the FGF7 subfamily. FGF10 is a paracrine signaling growth factor of 215 amino acids with a typical signal sequence for secretion and plays an essential role during development and tissue homeostasis in adults (PMID: 30405705). FGF10 is mainly produced by neuron and microglia/macrophages (PMID: 28981091). The calculated molecular weight of FGF10 is 23 kDa. Sometimes higher molecular weight around 40 kDa can also be observed, which may be a modified variant of FGF10.
实验方案
| Product Specific Protocols | |
|---|---|
| IF protocol for FGF10 antibody 29749-1-AP | Download protocol |
| WB protocol for FGF10 antibody 29749-1-AP | Download protocol |
| Standard Protocols | |
|---|---|
| Click here to view our Standard Protocols |
发表文章
| Species | Application | Title |
|---|---|---|
Invest Ophthalmol Vis Sci KGF-2 Alleviates Dry Eye Disease by Regulating the HMGB1/TLR4 Pathway | ||
Signal Transduct Target Ther Activation of Nerve Growth Factor signaling limits the response to lenvatinib in hepatocellular carcinoma | ||
Acta Biochim Biophys Sin (Shanghai) CDC5L facilitates cardiomyocyte proliferation and ameliorates myocardial ischemia-reperfusion injury via modulation of the FGF10-YAP axis. |

