验证数据展示
经过测试的应用
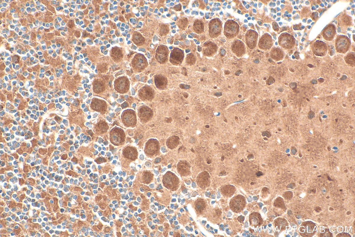
| Positive IHC detected in | mouse cerebellum tissue Note: suggested antigen retrieval with TE buffer pH 9.0; (*) Alternatively, antigen retrieval may be performed with citrate buffer pH 6.0 |
| Positive IF/ICC detected in | A431 cells, U2OS cells |
推荐稀释比
| 应用 | 推荐稀释比 |
|---|---|
| Immunohistochemistry (IHC) | IHC : 1:50-1:500 |
| Immunofluorescence (IF)/ICC | IF/ICC : 1:200-1:800 |
| It is recommended that this reagent should be titrated in each testing system to obtain optimal results. | |
| Sample-dependent, Check data in validation data gallery. | |
产品信息
25718-1-AP targets FAM135A in IHC, IF/ICC, ELISA applications and shows reactivity with human, mouse samples.
| 经测试应用 | IHC, IF/ICC, ELISA Application Description |
| 经测试反应性 | human, mouse |
| 免疫原 |
CatNo: Ag22472 Product name: Recombinant human FAM135A protein Source: e coli.-derived, PGEX-4T Tag: GST Domain: 1-350 aa of BC131782 Sequence: MTEVQAMVEFSVELNKFYNVDLFQRGFYQIRASMKIPSRIPHRVEASLLHATGMTLAFPASVHDSLICSKTFQILYKNEEVVLNDVMIFKVKMLLDERKIEETLEEMNFLLSLDLHFTDGDYSADDLNALQLISSRTLKLHFSPHRGLHHHVNVMFDYFHLSVVSVTVHASLVALHQPLISFPRPVKTTWLNRNAPAQNKDSVIPTLESVVFGINYTKQLSPDGCSFIIADSFLHHAYRFHYTLCATLLLAFKGLHSYFITVTEEIPSCQKLELEEMDVEARLTELCEEVKKIENPDELAELINMNLAQLCSLLMALWGQFLEVITLHEELRILLAQEHHTLRVRRFSEA 种属同源性预测 |
| 宿主/亚型 | Rabbit / IgG |
| 抗体类别 | Polyclonal |
| 产品类型 | Antibody |
| 全称 | family with sequence similarity 135, member A |
| 别名 | FAM135A, KIAA1411, Protein FAM135A |
| 计算分子量 | 1515 aa, 170 kDa |
| GenBank蛋白编号 | BC131782 |
| 基因名称 | FAM135A |
| Gene ID (NCBI) | 57579 |
| RRID | AB_3669496 |
| 偶联类型 | Unconjugated |
| 形式 | Liquid |
| 纯化方式 | Antigen affinity purification |
| UNIPROT ID | Q9P2D6 |
| 储存缓冲液 | PBS with 0.02% sodium azide and 50% glycerol, pH 7.3. |
| 储存条件 | Store at -20°C. Stable for one year after shipment. Aliquoting is unnecessary for -20oC storage. |
背景介绍
FAM135A (family with sequence similarity 135) also known as KIAA1411, is a gene in the RP25 locus that is situated between D6S1557 and D6S421. FAM135A is expressed in the retina, brain, skeletal muscle, pancreas, and lung, according to gene expression studies. FAM135A is linked to several tumor-related pathways and is strongly correlated with breast cancer cell invasion and migration (PMID: 36943627).
实验方案
| Product Specific Protocols | |
|---|---|
| IF protocol for FAM135A antibody 25718-1-AP | Download protocol |
| IHC protocol for FAM135A antibody 25718-1-AP | Download protocol |
| Standard Protocols | |
|---|---|
| Click here to view our Standard Protocols |



