验证数据展示
经过测试的应用
| Positive WB detected in | L02 cells |
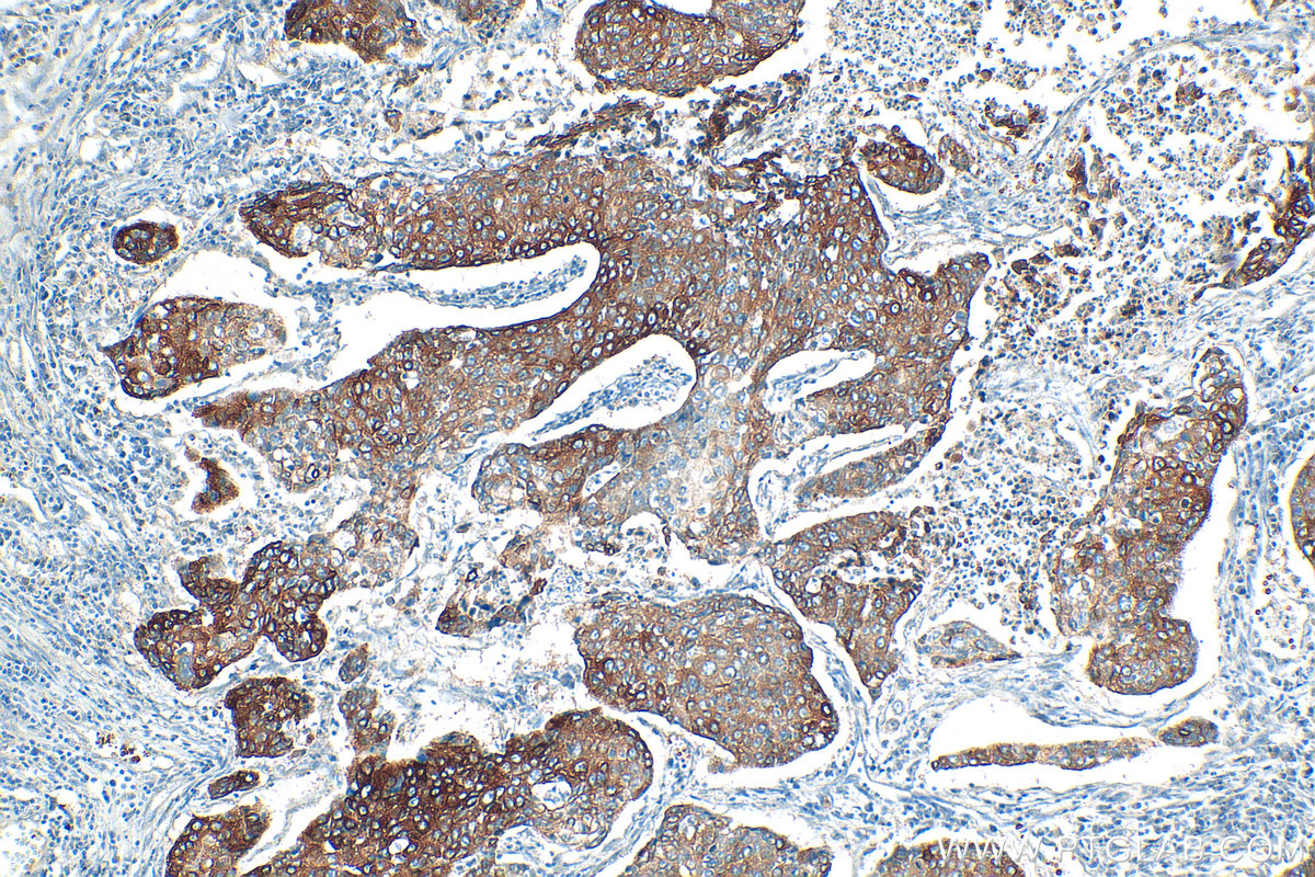
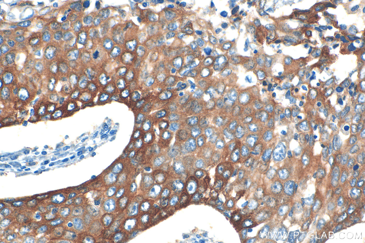
| Positive IHC detected in | human lung cancer tissue Note: suggested antigen retrieval with TE buffer pH 9.0; (*) Alternatively, antigen retrieval may be performed with citrate buffer pH 6.0 |
推荐稀释比
| 应用 | 推荐稀释比 |
|---|---|
| Western Blot (WB) | WB : 1:500-1:1000 |
| Immunohistochemistry (IHC) | IHC : 1:200-1:800 |
| It is recommended that this reagent should be titrated in each testing system to obtain optimal results. | |
| Sample-dependent, Check data in validation data gallery. | |
产品信息
31475-1-AP targets EPPK1 in WB, IHC, ELISA applications and shows reactivity with human samples.
| 经测试应用 | WB, IHC, ELISA Application Description |
| 经测试反应性 | human |
| 免疫原 |
CatNo: Ag35749 Product name: Recombinant human EPPK1 protein Source: e coli.-derived, PGEX-4T Tag: GST Domain: 1400-1570 aa of NM_031308.3 Sequence: NKFFFDPSARDQVTYQQLRERCVCDSETGLLLLPLPSDTVLEVDDHTAVALRAMKVPVSTGRFKGCSVSLWDLLLSEYVGADKRRELVALCRSGRAAALRQVVSAVTTLVEAAERQPLQATFRGLRKQVSARDLFRAQLISRKTLDELSQGTTTVKEVAEMDSVKRSLEGG 种属同源性预测 |
| 宿主/亚型 | Rabbit / IgG |
| 抗体类别 | Polyclonal |
| 产品类型 | Antibody |
| 全称 | epiplakin 1 |
| 别名 | EPPK, EPIPL, EPIPL1, Epiplakin |
| 计算分子量 | 555 kDa |
| 观测分子量 | 500-600 kDa |
| GenBank蛋白编号 | NM_031308.3 |
| 基因名称 | EPPK1 |
| Gene ID (NCBI) | 83481 |
| RRID | AB_3669999 |
| 偶联类型 | Unconjugated |
| 形式 | Liquid |
| 纯化方式 | Antigen affinity Purification |
| UNIPROT ID | P58107 |
| 储存缓冲液 | PBS with 0.02% sodium azide and 50% glycerol, pH 7.3. |
| 储存条件 | Store at -20°C. Stable for one year after shipment. Aliquoting is unnecessary for -20oC storage. |
背景介绍
Epplakin 1 (EPPK1), belonging to the plakin family, is involved in connecting intermediate filaments and regulating their reorganization in stress response. Studies have shown that EPPK1 is involved in the progression of various cancers, such as liver cancer, cervical cancer, and bladder urothelial carcinoma.
实验方案
| Product Specific Protocols | |
|---|---|
| IHC protocol for EPPK1 antibody 31475-1-AP | Download protocol |
| WB protocol for EPPK1 antibody 31475-1-AP | Download protocol |
| Standard Protocols | |
|---|---|
| Click here to view our Standard Protocols |


