验证数据展示
经过测试的应用
| Positive WB detected in | MDCK cells |
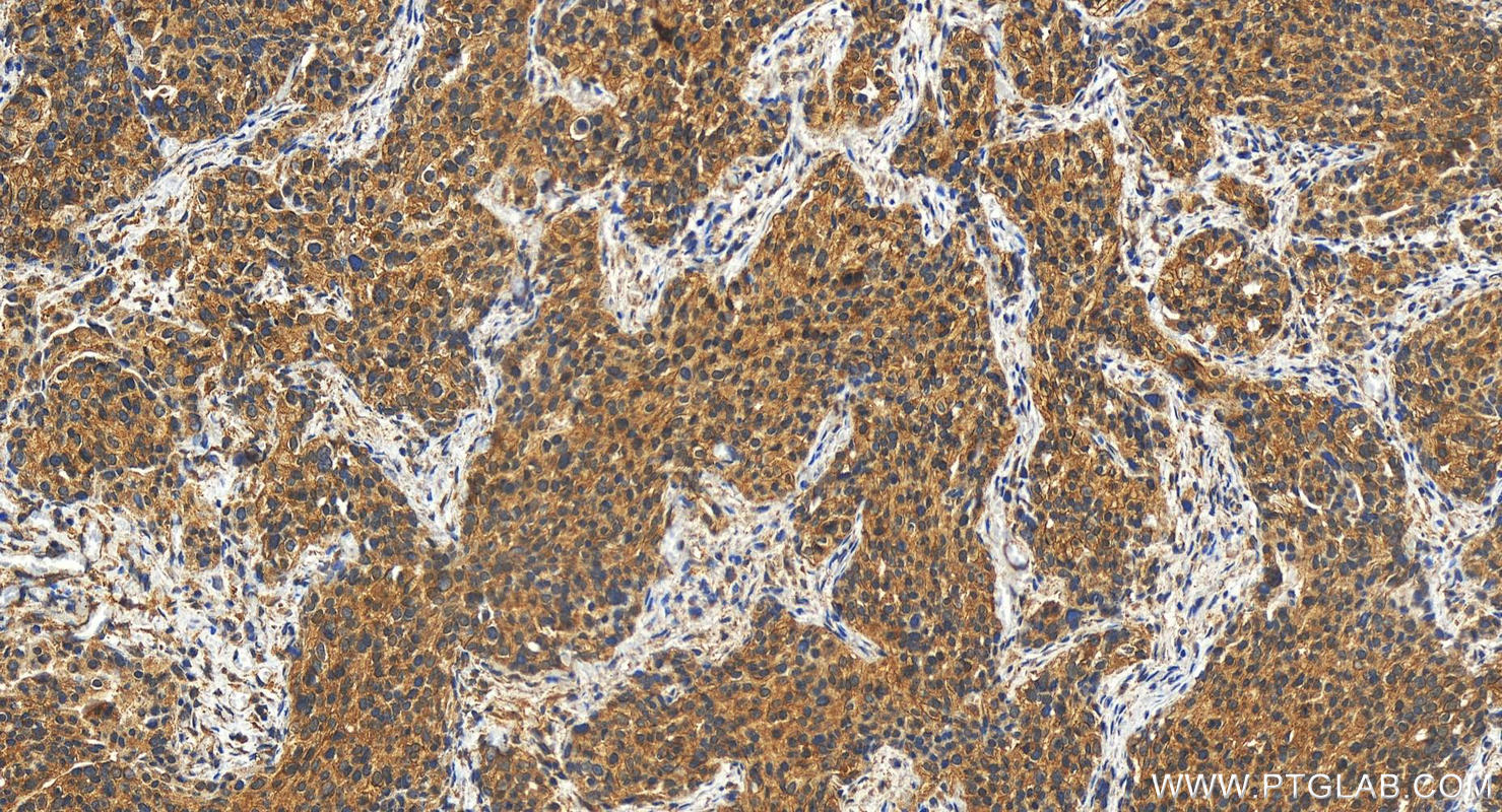
| Positive IHC detected in | human ovary cancer tissue Note: suggested antigen retrieval with TE buffer pH 9.0; (*) Alternatively, antigen retrieval may be performed with citrate buffer pH 6.0 |
推荐稀释比
| 应用 | 推荐稀释比 |
|---|---|
| Western Blot (WB) | WB : 1:500-1:1000 |
| Immunohistochemistry (IHC) | IHC : 1:50-1:500 |
| It is recommended that this reagent should be titrated in each testing system to obtain optimal results. | |
| Sample-dependent, Check data in validation data gallery. | |
产品信息
27098-1-AP targets ECHDC3 in WB, IHC, ELISA applications and shows reactivity with human, canine samples.
| 经测试应用 | WB, IHC, ELISA Application Description |
| 经测试反应性 | human, canine |
| 免疫原 |
CatNo: Ag25707 Product name: Recombinant human ECHDC3 protein Source: e coli.-derived, PET30a Tag: 6*His Domain: 29-303 aa of BC009617 Sequence: RFCSRDPAGAGRRESEPRPTSARQLDGIRNIVLSNPKKRNTLSLAMLKSLQSDILHDADSNDLKVIIISAEGPVFSSGHDLKELTEEQGRDYHAEVFQTCSKVMMHIRNHPVPVIAMVNGLATAAGCQLVASCDIAVASDKSSFATPGVNVGLFCSTPGVALARAVPRKVALEMLFTGEPISAQEALLHGLLSKVVPEAELQEETMRIARKIASLSRPVVSLGKATFYKQLPQDLGTAYYLTSQAMVDNLALRDGQEGITAFLQKRKPVWSHEPV 种属同源性预测 |
| 宿主/亚型 | Rabbit / IgG |
| 抗体类别 | Polyclonal |
| 产品类型 | Antibody |
| 全称 | enoyl Coenzyme A hydratase domain containing 3 |
| 别名 | PP8332, PP1494, Enoyl-CoA hydratase domain-containing protein 3, mitochondrial |
| 观测分子量 | 33 kDa |
| GenBank蛋白编号 | BC009617 |
| 基因名称 | ECHDC3 |
| Gene ID (NCBI) | 79746 |
| RRID | AB_3085926 |
| 偶联类型 | Unconjugated |
| 形式 | Liquid |
| 纯化方式 | Antigen affinity purification |
| UNIPROT ID | Q96DC8 |
| 储存缓冲液 | PBS with 0.02% sodium azide and 50% glycerol, pH 7.3. |
| 储存条件 | Store at -20°C. Stable for one year after shipment. Aliquoting is unnecessary for -20oC storage. |
实验方案
| Product Specific Protocols | |
|---|---|
| IHC protocol for ECHDC3 antibody 27098-1-AP | Download protocol |
| WB protocol for ECHDC3 antibody 27098-1-AP | Download protocol |
| Standard Protocols | |
|---|---|
| Click here to view our Standard Protocols |

