验证数据展示
经过测试的应用
| Positive WB detected in | Jurkat cells, MCF-7 cells, HEK-293 cells |
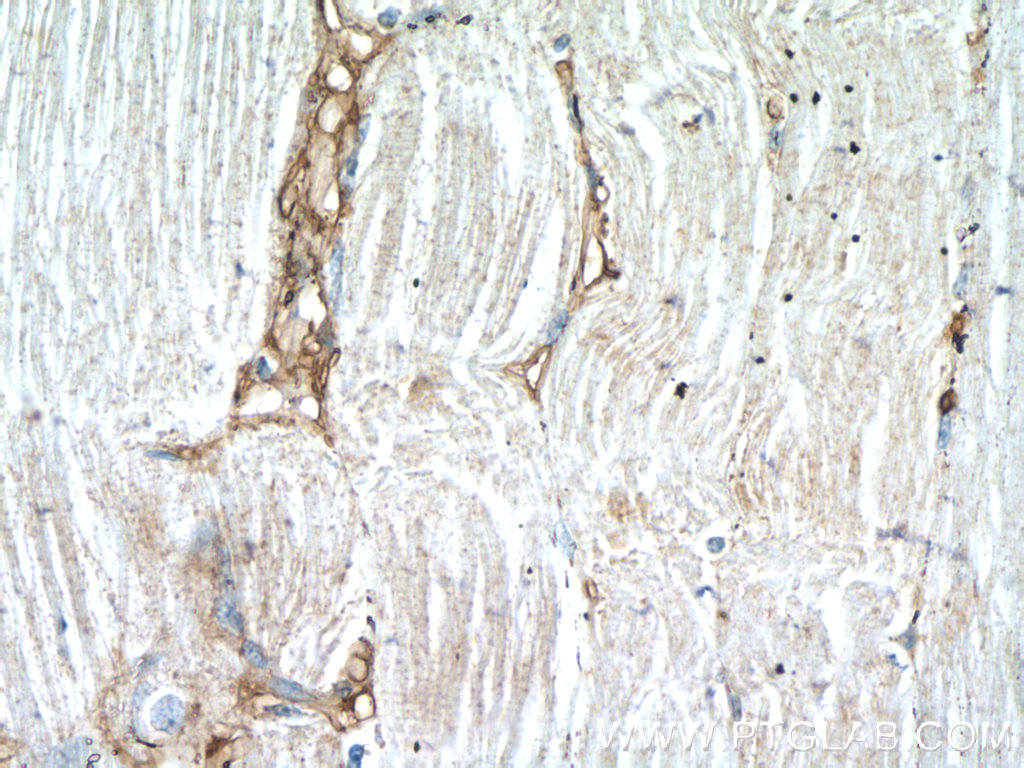
| Positive IHC detected in | human skeletal muscle tissue Note: suggested antigen retrieval with TE buffer pH 9.0; (*) Alternatively, antigen retrieval may be performed with citrate buffer pH 6.0 |
推荐稀释比
| 应用 | 推荐稀释比 |
|---|---|
| Western Blot (WB) | WB : 1:500-1:2000 |
| Immunohistochemistry (IHC) | IHC : 1:20-1:200 |
| It is recommended that this reagent should be titrated in each testing system to obtain optimal results. | |
| Sample-dependent, Check data in validation data gallery. | |
产品信息
22697-1-AP targets DOK7 in WB, IHC, ELISA applications and shows reactivity with human samples.
| 经测试应用 | WB, IHC, ELISA Application Description |
| 经测试反应性 | human |
| 免疫原 |
CatNo: Ag18543 Product name: Recombinant human DOK7 protein Source: e coli.-derived, PGEX-4T Tag: GST Domain: 136-504 aa of BC131544 Sequence: DVLVLARDIPPAVTGQWKLSDLRRYGAVPSGFIFEGGTRCGYWAGVFFLSSAEGEQISFLFDCIVRGISPTKGPFGLRPVLPDPSPPGPSTVEERVAQEALETLQLEKRLSLLSHAGRPGSGGDDRSLSSSSSEASHLDVSASSRLTAWPEQSSSSASTSQEGPRPAAAQAAGEAMVGASRPPPKPLRPRQLQEVGRQSSSDSGIATGSHSSYSSSLSSYAGSSLDVWRATDELGSLLSLPAAGAPEPSLCTCLPGTVEYQVPTSLRAHYDTPRSLCLAPRDHSPPSQGSPGNSAARDSGGQTSAGCPSGWLGTRRRGLVMEAPQDSEATLPGPAPGEPWEAGGPHAGPPPAFFSACPVCGGLKVNPPP 种属同源性预测 |
| 宿主/亚型 | Rabbit / IgG |
| 抗体类别 | Polyclonal |
| 产品类型 | Antibody |
| 全称 | docking protein 7 |
| 别名 | C4orf25, CMS1B, docking protein 7, Dok 7, DOK7, Protein Dok 7 |
| 计算分子量 | 504 aa, 53 kDa |
| 观测分子量 | 64 kDa |
| GenBank蛋白编号 | BC131544 |
| 基因名称 | DOK7 |
| Gene ID (NCBI) | 285489 |
| RRID | AB_2879152 |
| 偶联类型 | Unconjugated |
| 形式 | Liquid |
| 纯化方式 | Antigen affinity purification |
| UNIPROT ID | Q18PE1 |
| 储存缓冲液 | PBS with 0.02% sodium azide and 50% glycerol, pH 7.3. |
| 储存条件 | Store at -20°C. Stable for one year after shipment. Aliquoting is unnecessary for -20oC storage. |
背景介绍
DOK7, also named as C4orf25, is a MuSK-interacting cytoplasmic protein. DOK7 is essential for neuromuscular synaptogenesis through its interaction with MuSK. It plays an essential role in neuromuscular synaptogenesis. DOK7 acts in aneural activation of MUSK and subsequent acetylcholine receptor (AchR) clustering in myotubes. DOK7 has some isoforms with MW 53 kDa, 37 kDa, 28 kDa and 64 kDa.
实验方案
| Product Specific Protocols | |
|---|---|
| IHC protocol for DOK7 antibody 22697-1-AP | Download protocol |
| WB protocol for DOK7 antibody 22697-1-AP | Download protocol |
| Standard Protocols | |
|---|---|
| Click here to view our Standard Protocols |




