验证数据展示
经过测试的应用
| Positive WB detected in | A549 cells, HeLa cells, HepG2 cells, mouse testis tissue |
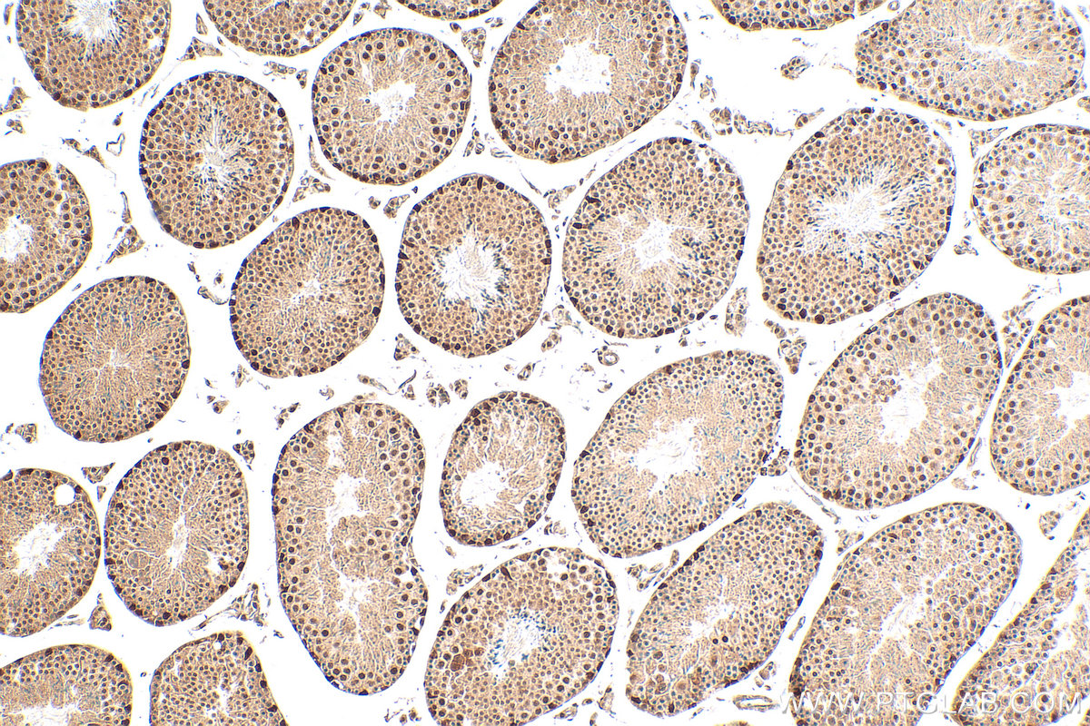
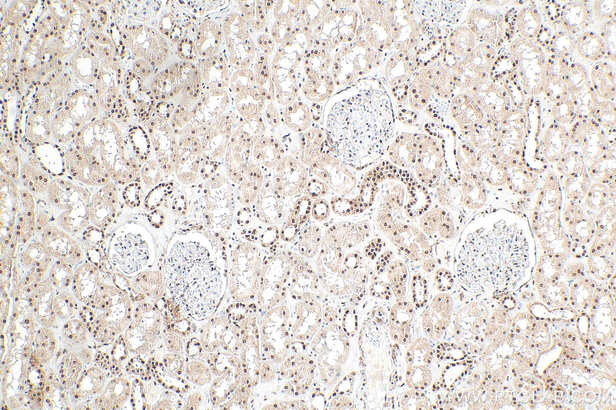
| Positive IHC detected in | mouse testis tissue, human kidney tissue Note: suggested antigen retrieval with TE buffer pH 9.0; (*) Alternatively, antigen retrieval may be performed with citrate buffer pH 6.0 |
| Positive IF/ICC detected in | HeLa cells |
推荐稀释比
| 应用 | 推荐稀释比 |
|---|---|
| Western Blot (WB) | WB : 1:500-1:1000 |
| Immunohistochemistry (IHC) | IHC : 1:50-1:500 |
| Immunofluorescence (IF)/ICC | IF/ICC : 1:200-1:800 |
| It is recommended that this reagent should be titrated in each testing system to obtain optimal results. | |
| Sample-dependent, Check data in validation data gallery. | |
产品信息
28465-1-AP targets DCPS in WB, IHC, IF/ICC, ELISA applications and shows reactivity with human, mouse samples.
| 经测试应用 | WB, IHC, IF/ICC, ELISA Application Description |
| 经测试反应性 | human, mouse |
| 免疫原 |
CatNo: Ag29351 Product name: Recombinant human DCPS protein Source: e coli.-derived, PGEX-4T Tag: GST Domain: 7-160 aa of BC014532 Sequence: QLGKRKRELDVEEAHAASTEEKEAGVGNGTCAPVRLPFSGFRLQKVLRESARDKIIFLHGKVNEASEDGDGEDAVVILEKTPFQVEQVAQLLTGSPELQLQFSNDIYSTYHLFPPRQLNDVKTTVVYPATEKHLQKYLRQDLRLIRETGDDYRN 种属同源性预测 |
| 宿主/亚型 | Rabbit / IgG |
| 抗体类别 | Polyclonal |
| 产品类型 | Antibody |
| 全称 | decapping enzyme, scavenger |
| 别名 | DCS 1, DCS1, DCS-1, decapping enzyme, scavenger, Decapping scavenger enzyme |
| 计算分子量 | 337 aa, 39 kDa |
| 观测分子量 | 35-40 kDa |
| GenBank蛋白编号 | BC014532 |
| 基因名称 | DCPS |
| Gene ID (NCBI) | 28960 |
| RRID | AB_3086054 |
| 偶联类型 | Unconjugated |
| 形式 | Liquid |
| 纯化方式 | Antigen affinity purification |
| UNIPROT ID | Q96C86 |
| 储存缓冲液 | PBS with 0.02% sodium azide and 50% glycerol, pH 7.3. |
| 储存条件 | Store at -20°C. Stable for one year after shipment. Aliquoting is unnecessary for -20oC storage. |
背景介绍
DcpS, which is a member of the histidine triad (HIT) superfamily of pyrophosphatases, is the first HIT protein with a defined biological function and identifies the HIT motif as a new mRNA decapping domain. DcpS can encode a 38-40 kDa protein, and has the potential to form a homodimer of 80 kDa(PMID: 12198172).
实验方案
| Product Specific Protocols | |
|---|---|
| IF protocol for DCPS antibody 28465-1-AP | Download protocol |
| IHC protocol for DCPS antibody 28465-1-AP | Download protocol |
| WB protocol for DCPS antibody 28465-1-AP | Download protocol |
| Standard Protocols | |
|---|---|
| Click here to view our Standard Protocols |



