验证数据展示
经过测试的应用
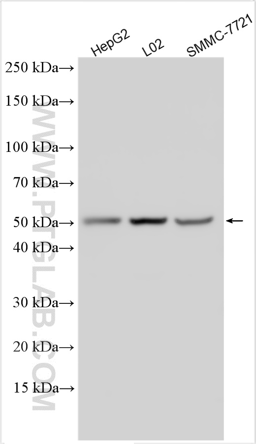
| Positive WB detected in | HepG2 cells, L02 cells, SMMC-7721 cells |
| Positive IHC detected in | mouse liver tissue Note: suggested antigen retrieval with TE buffer pH 9.0; (*) Alternatively, antigen retrieval may be performed with citrate buffer pH 6.0 |
| Positive IF/ICC detected in | HepG2 cells |
推荐稀释比
| 应用 | 推荐稀释比 |
|---|---|
| Western Blot (WB) | WB : 1:500-1:3000 |
| Immunohistochemistry (IHC) | IHC : 1:250-1:1000 |
| Immunofluorescence (IF)/ICC | IF/ICC : 1:200-1:800 |
| It is recommended that this reagent should be titrated in each testing system to obtain optimal results. | |
| Sample-dependent, Check data in validation data gallery. | |
产品信息
55217-1-AP targets CYP8B1 in WB, IHC, IF/ICC, ELISA applications and shows reactivity with human samples.
| 经测试应用 | WB, IHC, IF/ICC, ELISA Application Description |
| 经测试反应性 | human |
| 免疫原 |
Peptide 种属同源性预测 |
| 宿主/亚型 | Rabbit / IgG |
| 抗体类别 | Polyclonal |
| 产品类型 | Antibody |
| 全称 | cytochrome P450, family 8, subfamily B, polypeptide 1 |
| 别名 | CP8B, CYP12 |
| 计算分子量 | 58 kDa |
| 观测分子量 | 50-58 kDa |
| GenBank蛋白编号 | NM_004391 |
| 基因名称 | CYP8B1 |
| Gene ID (NCBI) | 1582 |
| RRID | AB_3670243 |
| 偶联类型 | Unconjugated |
| 形式 | Liquid |
| 纯化方式 | Antigen affinity purification |
| UNIPROT ID | Q9UNU6 |
| 储存缓冲液 | PBS with 0.02% sodium azide and 50% glycerol, pH 7.3. |
| 储存条件 | Store at -20°C. Stable for one year after shipment. Aliquoting is unnecessary for -20oC storage. |
背景介绍
Cytochrome P450 8B1 (CYP8B1) , also named as CP8B, CYP12 and CYPVIIIB1, is an enzyme required for the synthesis of cholic acid (CA) in the classic bile acid synthesis pathway. CYP8B1 controls biliary balance of cholic acid and chenodeoxycholic acid, ultimately regulating the intestinal absorption of dietary lipids.
实验方案
| Product Specific Protocols | |
|---|---|
| IF protocol for CYP8B1 antibody 55217-1-AP | Download protocol |
| IHC protocol for CYP8B1 antibody 55217-1-AP | Download protocol |
| WB protocol for CYP8B1 antibody 55217-1-AP | Download protocol |
| Standard Protocols | |
|---|---|
| Click here to view our Standard Protocols |



