验证数据展示
经过测试的应用
| Positive WB detected in | NIH/3T3 cells, mouse brain tissue |
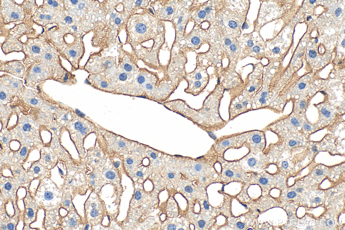
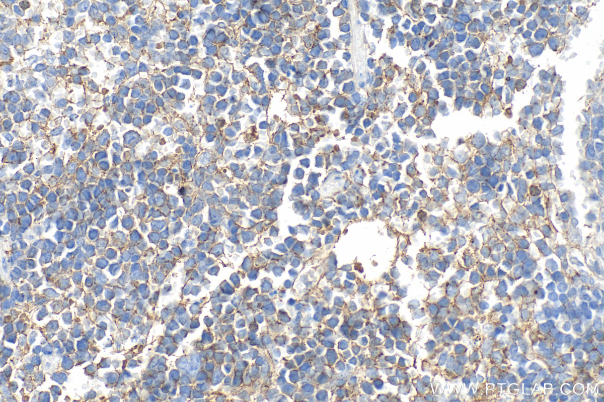
| Positive IHC detected in | mouse liver tissue, mouse spleen tissue Note: suggested antigen retrieval with TE buffer pH 9.0; (*) Alternatively, antigen retrieval may be performed with citrate buffer pH 6.0 |
推荐稀释比
| 应用 | 推荐稀释比 |
|---|---|
| Western Blot (WB) | WB : 1:500-1:2000 |
| Immunohistochemistry (IHC) | IHC : 1:200-1:800 |
| It is recommended that this reagent should be titrated in each testing system to obtain optimal results. | |
| Sample-dependent, Check data in validation data gallery. | |
产品信息
33170-1-AP targets CD81 in WB, IHC, ELISA applications and shows reactivity with mouse samples.
| 经测试应用 | WB, IHC, ELISA Application Description |
| 经测试反应性 | mouse |
| 免疫原 |
CatNo: Eg3833 Product name: Recombinant Mouse CD81 protein (rFc Tag) Source: mammalian cells-derived, pHZ-KIsec-N-rFc Tag: N-rFc Domain: 106-211 aa of NM_133655.2 Sequence: VAAGIWGFVNKDQIAKDVKQFYDQALQQAVMDDDANNAKAVVKTFHETLNCCGSNALTTLTTTILRNSLCPSGGNILTPLLQQDCHQKIDELFSGKLYLIGIAAIV 种属同源性预测 |
| 宿主/亚型 | Rabbit / IgG |
| 抗体类别 | Polyclonal |
| 产品类型 | Antibody |
| 全称 | CD81 antigen |
| 别名 | 26 kDa cell surface protein TAPA-1, CD81 antigen, Tapa 1, Tapa1, Target of the antiproliferative antibody 1 |
| 计算分子量 | 26 kDa |
| 观测分子量 | 20-23 kDa |
| GenBank蛋白编号 | NM_133655.2 |
| 基因名称 | Cd81 |
| Gene ID (NCBI) | 12520 |
| 偶联类型 | Unconjugated |
| 形式 | Liquid |
| 纯化方式 | Antigen affinity Purification |
| UNIPROT ID | P35762 |
| 储存缓冲液 | PBS with 0.02% sodium azide and 50% glycerol, pH 7.3. |
| 储存条件 | Store at -20°C. Stable for one year after shipment. Aliquoting is unnecessary for -20oC storage. |
背景介绍
CD81 (also known as TAPA1 or TSPAN28) is a membrane protein of the tetraspanin superfamily, which are characterized by the presence of four conserved transmembrane regions. Many of these members are expressed on leukocytes and have been implicated in signal transduction, cell-cell interactions, and cellular activation and development. CD81 is involved in signal transduction and cell adhesion in the immune system (PMID: 9597125). CD81 has also been identified as en essential receptor for HCV (hepatitis C virus) (PMID: 21428934).
实验方案
| Product Specific Protocols | |
|---|---|
| IHC protocol for CD81 antibody 33170-1-AP | Download protocol |
| WB protocol for CD81 antibody 33170-1-AP | Download protocol |
| Standard Protocols | |
|---|---|
| Click here to view our Standard Protocols |




