验证数据展示
经过测试的应用
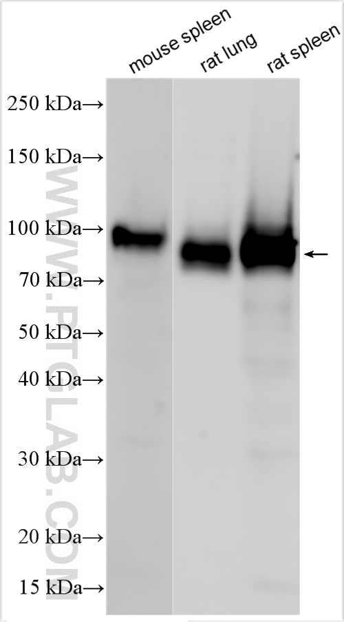
| Positive WB detected in | mouse spleen tissue, rat lung tissue, rat spleen tissue |
| Positive IF-P detected in | rat spleen tissue |
推荐稀释比
| 应用 | 推荐稀释比 |
|---|---|
| Western Blot (WB) | WB : 1:500-1:2000 |
| Immunofluorescence (IF)-P | IF-P : 1:50-1:500 |
| It is recommended that this reagent should be titrated in each testing system to obtain optimal results. | |
| Sample-dependent, Check data in validation data gallery. | |
产品信息
31981-1-AP targets CD44 in WB, IF-P, ELISA applications and shows reactivity with mouse, rat samples.
| 经测试应用 | WB, IF-P, ELISA Application Description |
| 经测试反应性 | mouse, rat |
| 免疫原 |
CatNo: Eg1458 Product name: Recombinant Rat CD44 protein (rFc Tag) (HPLC verified) Source: mammalian cells-derived, pHZ-KIsec-C-rFc Tag: C-rFc Domain: 22-271 aa of XM_006234631.3 Sequence: QQQIDLNITCRYAGVFHVEKNGRYSISRTEAADLCEAFNTTLPTMAQMELALSKGFETCRYGFIEGHVVIPRIHPNAICAANNTGVYILLASNTSHYDTYCFNASAPLEEDCTSVTDLPNSFDGPVTITIVNRDGTRYSKKGEYRTHQEDIDASNIIDEDVSSGSTIEKSTPEGYILHTDLPTSQPTGDRDDAFFIGSTLATSDGDSSMDPRGGFDTVTHGSELAGHSSGNQDSGVTTTSGPARRPQIPE 种属同源性预测 |
| 宿主/亚型 | Rabbit / IgG |
| 抗体类别 | Polyclonal |
| 产品类型 | Antibody |
| 全称 | Cd44 molecule |
| 别名 | CD44 antigen, ECMR-III, Extracellular matrix receptor III, GP90 lymphocyte homing/adhesion receptor, Hermes antigen |
| 计算分子量 | 40 kDa |
| 观测分子量 | 80-95 kDa |
| GenBank蛋白编号 | XM_006234631.3 |
| 基因名称 | Cd44 |
| Gene ID (NCBI) | 25406 |
| 偶联类型 | Unconjugated |
| 形式 | Liquid |
| 纯化方式 | Antigen affinity Purification |
| UNIPROT ID | O70509 |
| 储存缓冲液 | PBS with 0.02% sodium azide and 50% glycerol, pH 7.3. |
| 储存条件 | Store at -20°C. Stable for one year after shipment. Aliquoting is unnecessary for -20oC storage. |
背景介绍
CD44 is a type I transmembrane glycoprotein expressed on embryonic stem cells and in various levels on other cell types including connective tissues and bone marrow. CD44 expression is also upregulated in subpopulations of cancer cells and is recognized as a molecular marker for cancer stem cells (PMID: 29747682). It is a cell-surface receptor that mediates cell-cell and cell-matrix interactions through its affinity for hyaluronic acid (HA) and possibly also through its affinity for other ligands (PMID: 10694938). Adhesion with HA plays an important role in cell migration, tumor growth and progression. CD44 is also involved in lymphocyte activation, recirculation and homing, and in hematopoiesis.
实验方案
| Product Specific Protocols | |
|---|---|
| IF protocol for CD44 antibody 31981-1-AP | Download protocol |
| WB protocol for CD44 antibody 31981-1-AP | Download protocol |
| Standard Protocols | |
|---|---|
| Click here to view our Standard Protocols |


