验证数据展示
经过测试的应用
| Positive WB detected in | PMA, LPS and Brefeldin A treated RAW 264.7 cells |
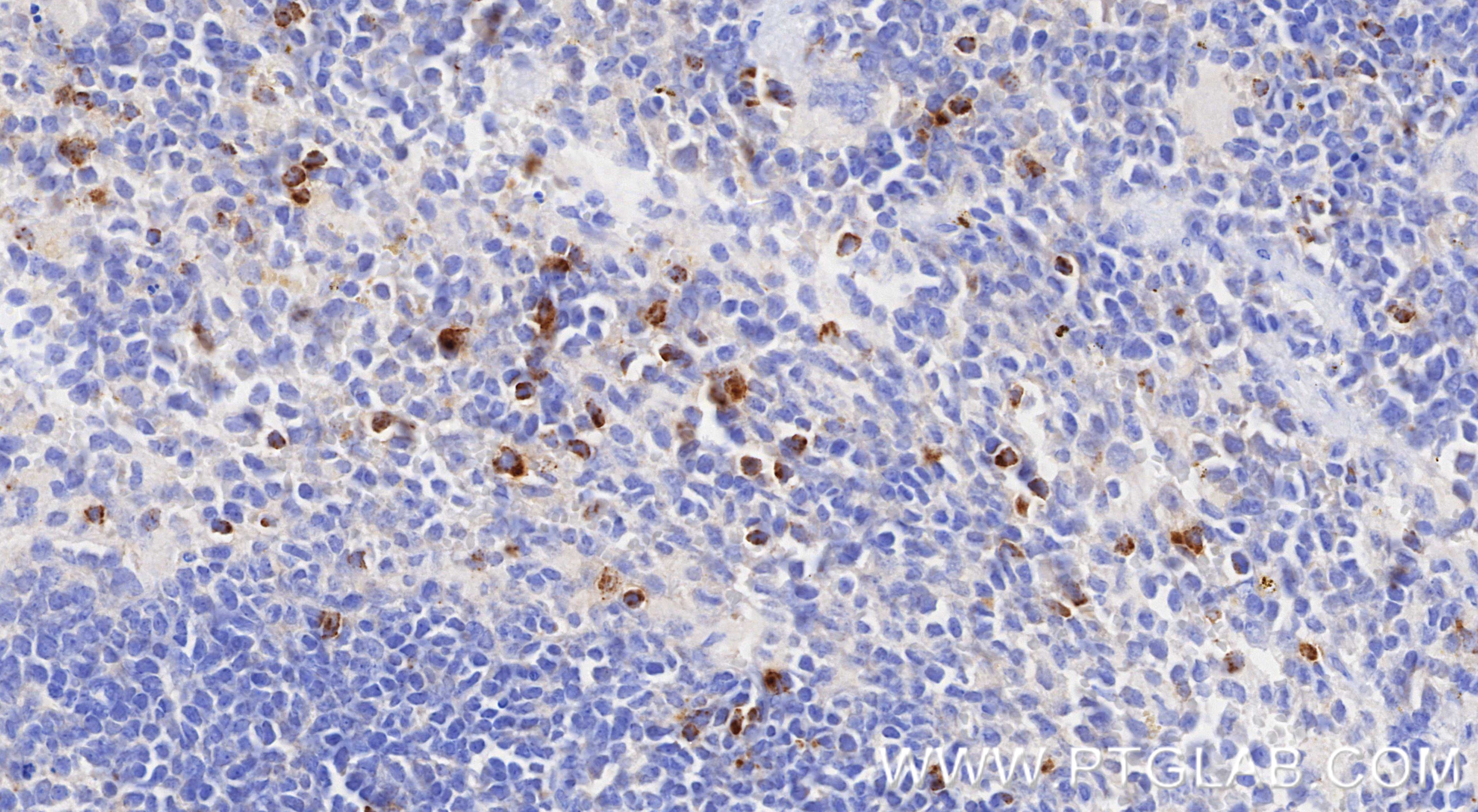
| Positive IHC detected in | mouse spleen tissue, mouse colon tissue Note: suggested antigen retrieval with TE buffer pH 9.0; (*) Alternatively, antigen retrieval may be performed with citrate buffer pH 6.0 |
推荐稀释比
| 应用 | 推荐稀释比 |
|---|---|
| Western Blot (WB) | WB : 1:5000-1:50000 |
| Immunohistochemistry (IHC) | IHC : 1:500-1:2000 |
| It is recommended that this reagent should be titrated in each testing system to obtain optimal results. | |
| Sample-dependent, Check data in validation data gallery. | |
产品信息
87060-4-RR targets CCL5 in WB, IHC, ELISA applications and shows reactivity with mouse samples.
| 经测试应用 | WB, IHC, ELISA Application Description |
| 经测试反应性 | mouse |
| 免疫原 |
CatNo: Eg2253 Product name: Recombinant Mouse CCL5 protein (rFc Tag) Source: mammalian cells-derived, pHZ-KIsec-C-rFc Tag: C-rFc Domain: 24-91 aa of Q5XZF2 Sequence: SPYGSDTTPCCFAYLSLALPRAHVKEYFYTSSKCSNLAVVFVTRRNRQVCANPEKKWVQEYINYLEMS 种属同源性预测 |
| 宿主/亚型 | Rabbit / IgG |
| 抗体类别 | Recombinant |
| 产品类型 | Antibody |
| 全称 | chemokine (C-C motif) ligand 5 |
| 别名 | C-C motif chemokine 5, MuRantes, RANTES, Scya5, SIS-delta |
| 计算分子量 | 10kd |
| 观测分子量 | 8 kDa |
| GenBank蛋白编号 | Q5XZF2 |
| 基因名称 | Ccl5 |
| Gene ID (NCBI) | 20304 |
| 偶联类型 | Unconjugated |
| 形式 | Liquid |
| 纯化方式 | Protein A purification |
| UNIPROT ID | P30882 |
| 储存缓冲液 | PBS with 0.02% sodium azide and 50% glycerol, pH 7.3. |
| 储存条件 | Store at -20°C. Stable for one year after shipment. Aliquoting is unnecessary for -20oC storage. |
背景介绍
CCL5 (C-C motif chemokine ligand 5), also known as RANTES, is a key inflammatory chemokine that attracts immune cells like T cells, monocytes, and eosinophils to sites of infection or inflammation, playing vital roles in immunity, viral defense (including HIV), and sometimes cancer progression, by binding to receptors like CCR1, CCR3, and CCR5 to signal cell movement and activation, with inhibitors being researched for therapeutic use.
实验方案
| Product Specific Protocols | |
|---|---|
| IHC protocol for CCL5 antibody 87060-4-RR | Download protocol |
| WB protocol for CCL5 antibody 87060-4-RR | Download protocol |
| Standard Protocols | |
|---|---|
| Click here to view our Standard Protocols |




