IHC Figures
IHC staining of human heart using 16696-1-AP (same clone as 16696-1-PBS)
Immunohistochemical analysis of paraffin-embedded human heart using 16696-1-AP (CA13 antibody) at dilution of 1:200 (under 10x lens). This data was developed using the same antibody clone with 16696-1-PBS in a different storage buffer formulation.
IHC staining of human heart using 16696-1-AP (same clone as 16696-1-PBS)
Immunohistochemical analysis of paraffin-embedded human heart using 16696-1-AP (CA13 antibody) at dilution of 1:200 (under 40x lens). This data was developed using the same antibody clone with 16696-1-PBS in a different storage buffer formulation.
IHC staining of human kidney using 16696-1-AP (same clone as 16696-1-PBS)
Immunohistochemical analysis of paraffin-embedded human kidney using 16696-1-AP (CA13 antibody) at dilution of 1:200 (under 10x lens). This data was developed using the same antibody clone with 16696-1-PBS in a different storage buffer formulation.
IHC staining of human kidney using 16696-1-AP (same clone as 16696-1-PBS)
Immunohistochemical analysis of paraffin-embedded human kidney using 16696-1-AP (CA13 antibody) at dilution of 1:200 (under 40x lens). This data was developed using the same antibody clone with 16696-1-PBS in a different storage buffer formulation.
IHC staining of human kidney using 16696-1-AP (same clone as 16696-1-PBS)
Immunohistochemical analysis of paraffin-embedded human kidney using 16696-1-AP (CA13 antibody) at dilution of 1:100 (under 10x lens). This data was developed using the same antibody clone with 16696-1-PBS in a different storage buffer formulation.
IHC staining of human kidney using 16696-1-AP (same clone as 16696-1-PBS)
Immunohistochemical analysis of paraffin-embedded human kidney using 16696-1-AP (CA13 antibody) at dilution of 1:100 (under 40x lens). This data was developed using the same antibody clone with 16696-1-PBS in a different storage buffer formulation.
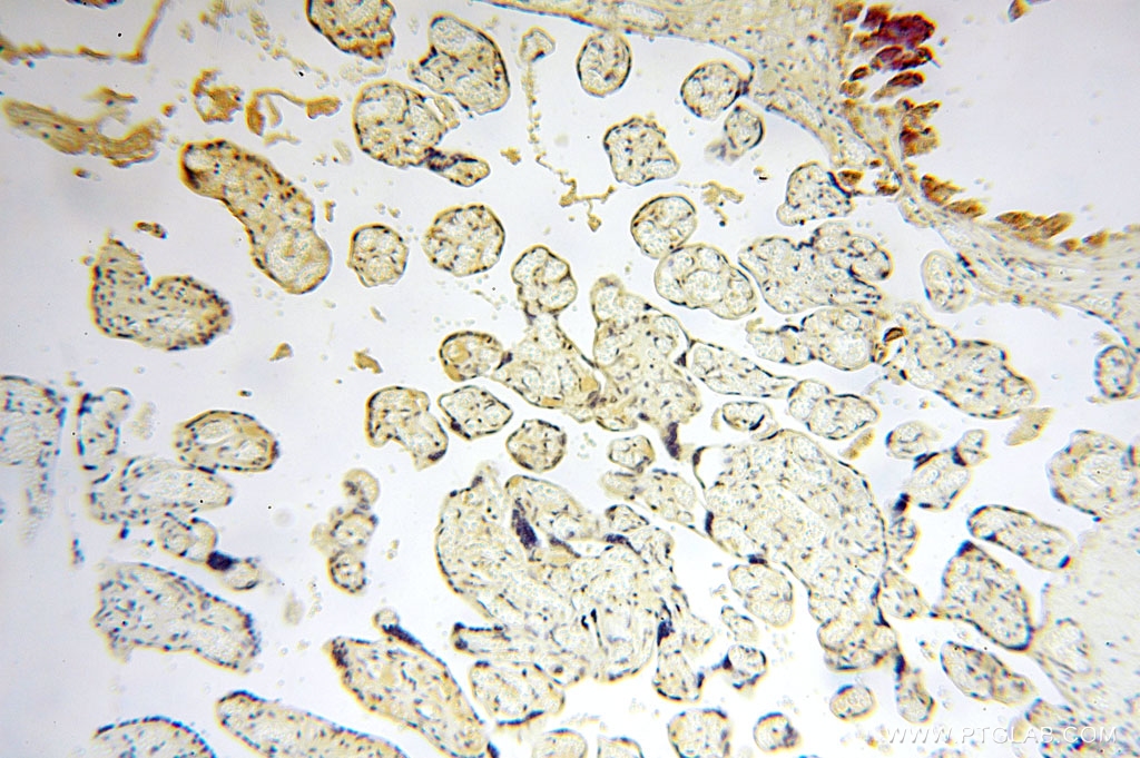
IHC staining of human placenta using 16696-1-AP (same clone as 16696-1-PBS)
Immunohistochemical analysis of paraffin-embedded human placenta using 16696-1-AP (CA13 antibody) at dilution of 1:100 (under 10x lens). This data was developed using the same antibody clone with 16696-1-PBS in a different storage buffer formulation.
IHC staining of human placenta using 16696-1-AP (same clone as 16696-1-PBS)
Immunohistochemical analysis of paraffin-embedded human placenta using 16696-1-AP (CA13 antibody) at dilution of 1:100 (under 40x lens). This data was developed using the same antibody clone with 16696-1-PBS in a different storage buffer formulation.
IHC staining of human spleen using 16696-1-AP (same clone as 16696-1-PBS)
Immunohistochemical analysis of paraffin-embedded human spleen using 16696-1-AP (CA13 antibody) at dilution of 1:200 (under 10x lens). This data was developed using the same antibody clone with 16696-1-PBS in a different storage buffer formulation.
IHC staining of human spleen using 16696-1-AP (same clone as 16696-1-PBS)
Immunohistochemical analysis of paraffin-embedded human spleen using 16696-1-AP (CA13 antibody) at dilution of 1:200 (under 40x lens). This data was developed using the same antibody clone with 16696-1-PBS in a different storage buffer formulation.
IHC staining of human spleen using 16696-1-AP (same clone as 16696-1-PBS)
Immunohistochemical analysis of paraffin-embedded human spleen using 16696-1-AP (CA13 antibody) at dilution of 1:200 (under 10x lens). This data was developed using the same antibody clone with 16696-1-PBS in a different storage buffer formulation.
IHC staining of human spleen using 16696-1-AP (same clone as 16696-1-PBS)
Immunohistochemical analysis of paraffin-embedded human spleen using 16696-1-AP (CA13 antibody) at dilution of 1:200 (under 40x lens). This data was developed using the same antibody clone with 16696-1-PBS in a different storage buffer formulation.
IHC staining of human spleen using 16696-1-AP (same clone as 16696-1-PBS)
Immunohistochemical analysis of paraffin-embedded human spleen using 16696-1-AP (CA13 antibody) at dilution of 1:100 (under 10x lens). This data was developed using the same antibody clone with 16696-1-PBS in a different storage buffer formulation.
IHC staining of human spleen using 16696-1-AP (same clone as 16696-1-PBS)
Immunohistochemical analysis of paraffin-embedded human spleen using 16696-1-AP (CA13 antibody) at dilution of 1:100 (under 40x lens). This data was developed using the same antibody clone with 16696-1-PBS in a different storage buffer formulation.
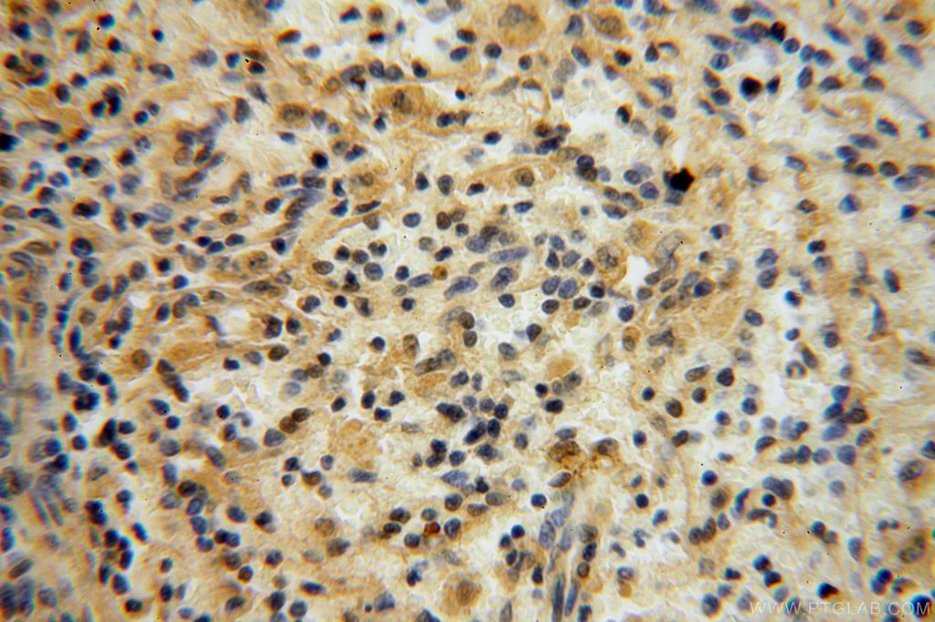
IHC staining of human testis using 16696-1-AP (same clone as 16696-1-PBS)
Immunohistochemical analysis of paraffin-embedded human testis using 16696-1-AP (CA13 antibody) at dilution of 1:100 (under 10x lens). This data was developed using the same antibody clone with 16696-1-PBS in a different storage buffer formulation.
IHC staining of human testis using 16696-1-AP (same clone as 16696-1-PBS)
Immunohistochemical analysis of paraffin-embedded human testis using 16696-1-AP (CA13 antibody) at dilution of 1:100 (under 40x lens). This data was developed using the same antibody clone with 16696-1-PBS in a different storage buffer formulation.