验证数据展示
经过测试的应用
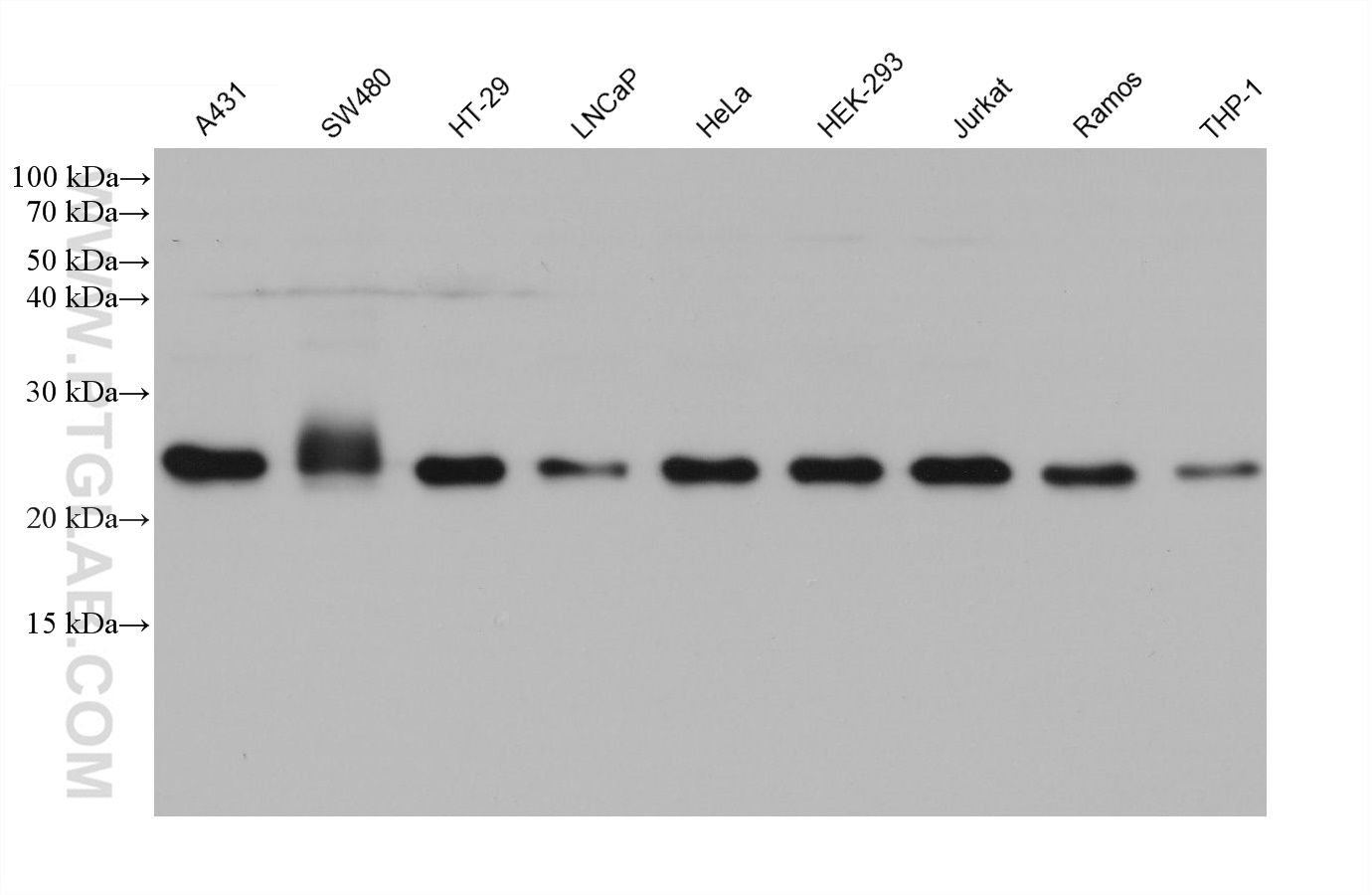
| Positive WB detected in | A431 cells, SW480 cells, HT-29 cells, LNCaP cells, HeLa cells, HEK-293 cells, Jurkat cells, Ramos cells, THP-1 cells |
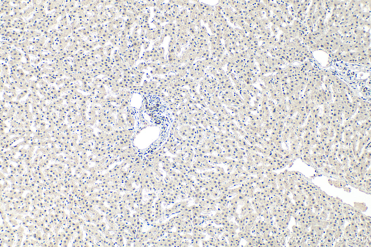
| Positive IHC detected in | human liver tissue, human stomach tissue Note: suggested antigen retrieval with TE buffer pH 9.0; (*) Alternatively, antigen retrieval may be performed with citrate buffer pH 6.0 |
| Positive IF/ICC detected in | HepG2 cells |
推荐稀释比
| 应用 | 推荐稀释比 |
|---|---|
| Western Blot (WB) | WB : 1:5000-1:50000 |
| Immunohistochemistry (IHC) | IHC : 1:200-1:800 |
| Immunofluorescence (IF)/ICC | IF/ICC : 1:600-1:2400 |
| It is recommended that this reagent should be titrated in each testing system to obtain optimal results. | |
| Sample-dependent, Check data in validation data gallery. | |
产品信息
68494-1-Ig targets C7orf50 in WB, IHC, IF/ICC, ELISA applications and shows reactivity with human samples.
| 经测试应用 | WB, IHC, IF/ICC, ELISA Application Description |
| 经测试反应性 | human |
| 免疫原 |
CatNo: Ag15142 Product name: Recombinant human C7orf50 protein Source: e coli.-derived, PET28a Tag: 6*His Domain: 1-194 aa of BC006224 Sequence: MAKQKRKVPEVTEKKNKKLKKASAEGPLLGPEAAPSGEGAGSKGEAVLRPGLDAEPELSPEEQRVLERKLKKERKKEERQRLREAGLVAQHPPARRSGAELALDYLCRWAQKHKNWRFQKTRQTWLLLHMYDSDKVPDEHFSTLLAYLEGLQGRARELTVQKAEALMRELDEEGSDPPLPGRAQRIRQVLQLLS 种属同源性预测 |
| 宿主/亚型 | Mouse / IgG2a |
| 抗体类别 | Monoclonal |
| 产品类型 | Antibody |
| 全称 | chromosome 7 open reading frame 50 |
| 别名 | 2A3G5, FP15621, YCR016W |
| 计算分子量 | 194 aa, 22 kDa |
| 观测分子量 | 22 kDa |
| GenBank蛋白编号 | BC006224 |
| 基因名称 | C7orf50 |
| Gene ID (NCBI) | 84310 |
| RRID | AB_3085205 |
| 偶联类型 | Unconjugated |
| 形式 | Liquid |
| 纯化方式 | Protein A purification |
| UNIPROT ID | Q9BRJ6 |
| 储存缓冲液 | PBS with 0.02% sodium azide and 50% glycerol, pH 7.3. |
| 储存条件 | Store at -20°C. Stable for one year after shipment. Aliquoting is unnecessary for -20oC storage. |
背景介绍
C7orf50 (Chromosome 7, Open Reading Frame 50) is ubiquitously expressed in the kidneys, brain, fat, prostate, spleen, among 22 other tissues and demonstrates low tissue specificity.
实验方案
| Product Specific Protocols | |
|---|---|
| IF protocol for C7orf50 antibody 68494-1-Ig | Download protocol |
| IHC protocol for C7orf50 antibody 68494-1-Ig | Download protocol |
| WB protocol for C7orf50 antibody 68494-1-Ig | Download protocol |
| Standard Protocols | |
|---|---|
| Click here to view our Standard Protocols |



