验证数据展示
经过测试的应用
| Positive WB detected in | mouse retina tissue, mouse testis tissue, human testis tissue, rat testis tissue, mouse eye tissue |
| Positive IP detected in | mouse testis tissue |
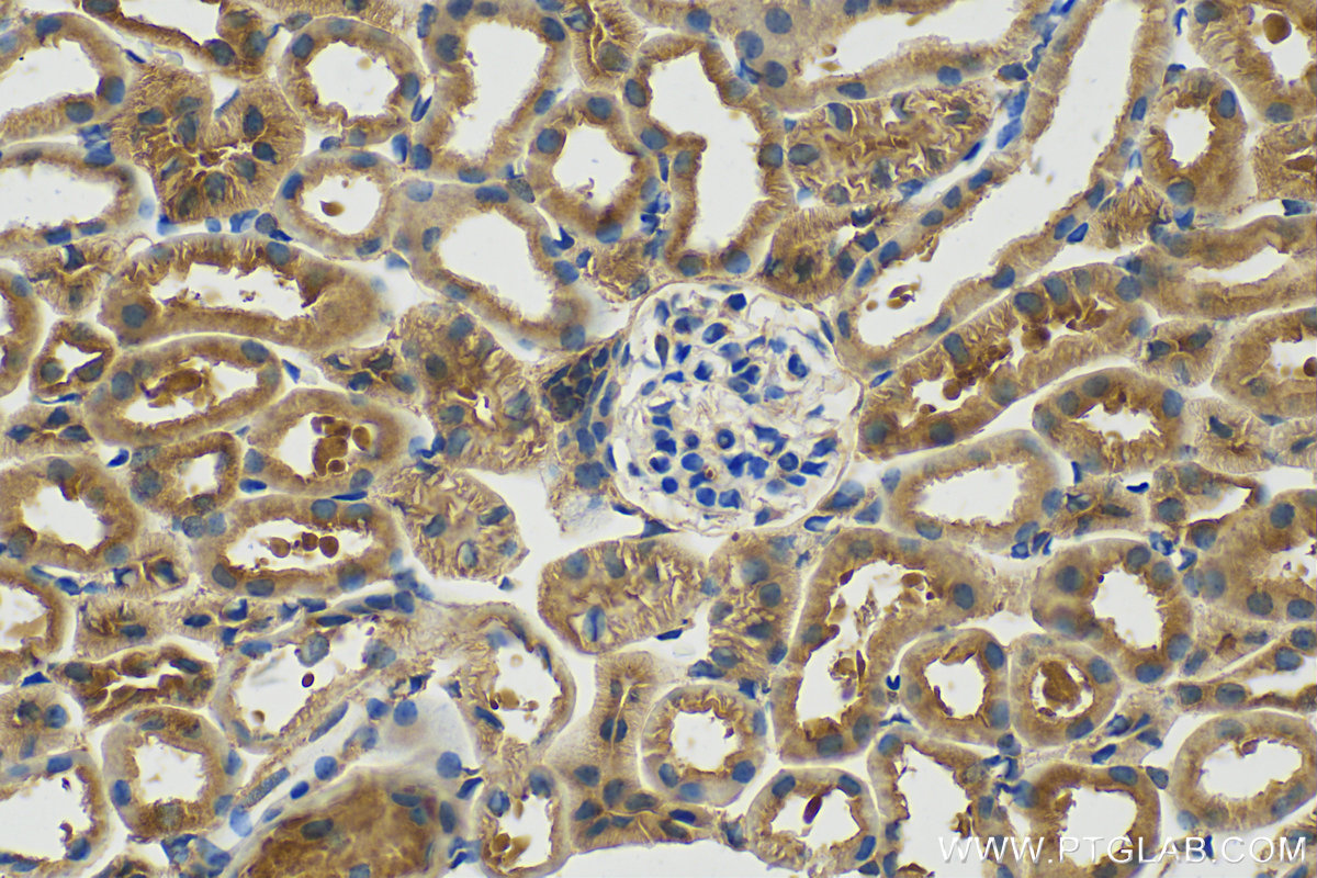
| Positive IHC detected in | human testis tissue, human kidney tissue, human stomach tissue, mouse kidney tissue, mouse testis tissue Note: suggested antigen retrieval with TE buffer pH 9.0; (*) Alternatively, antigen retrieval may be performed with citrate buffer pH 6.0 |
推荐稀释比
| 应用 | 推荐稀释比 |
|---|---|
| Western Blot (WB) | WB : 1:500-1:1000 |
| Immunoprecipitation (IP) | IP : 0.5-4.0 ug for 1.0-3.0 mg of total protein lysate |
| Immunohistochemistry (IHC) | IHC : 1:50-1:500 |
| It is recommended that this reagent should be titrated in each testing system to obtain optimal results. | |
| Sample-dependent, Check data in validation data gallery. | |
产品信息
14569-1-AP targets BBS5 in WB, IHC, IF, IP, CoIP, ELISA applications and shows reactivity with human, mouse, rat samples.
| 经测试应用 | WB, IHC, IP, ELISA Application Description |
| 文献引用应用 | WB, IHC, IF, IP, CoIP |
| 经测试反应性 | human, mouse, rat |
| 文献引用反应性 | human, mouse, rat |
| 免疫原 |
CatNo: Ag6153 Product name: Recombinant human BBS5 protein Source: e coli.-derived, PGEX-4T Tag: GST Domain: 1-341 aa of BC044593 Sequence: MSVLDALWEDRDVRFDLSAQQMKTRPGEVLIDCLDSIEDTKGNNGDRGRLLVTNLRILWHSLALSRVNVSVGYNCILNITTRTANSKLRGQTEALYILTKCNSTRFEFIFTNLVPGSPRLFTSVMAVHRAYETSKMYRDFKLRSALIQNKQLRLLPQEHVYDKINGVWNLSSDQGNLGTFFITNVRIVWHANMNDSFNVSIPYLQIRSIKIRDSKFGLALVIESSQQSGGYVLGFKIDPVEKLQESVKEINSLHKVYSASPIFGVDYEMEEKPQPLEALTVEQIQDDVEIDSDGHTDAFVAYFADGNKQQDREPVFSEELGLAIEKLKDGFTLQGLWEVMS 种属同源性预测 |
| 宿主/亚型 | Rabbit / IgG |
| 抗体类别 | Polyclonal |
| 产品类型 | Antibody |
| 全称 | Bardet-Biedl syndrome 5 |
| 别名 | Bardet-Biedl syndrome 5 protein, Bardet Biedl syndrome 5 |
| 计算分子量 | 39 kDa |
| 观测分子量 | 39 kDa |
| GenBank蛋白编号 | BC044593 |
| 基因名称 | BBS5 |
| Gene ID (NCBI) | 129880 |
| RRID | AB_10597551 |
| 偶联类型 | Unconjugated |
| 形式 | Liquid |
| 纯化方式 | Antigen affinity purification |
| UNIPROT ID | Q8N3I7 |
| 储存缓冲液 | PBS with 0.02% sodium azide and 50% glycerol, pH 7.3. |
| 储存条件 | Store at -20°C. Stable for one year after shipment. Aliquoting is unnecessary for -20oC storage. |
背景介绍
BBS5 encodes a protein that has been directly linked to Bardet-Biedl syndrome. Bardet-Biedl syndrome (BBS) is an autosomal recessive condition characterised by rod-cone dystrophy, postaxial polydactyly, central obesity, mental retardation, hypogonadism, and renal dysfunction. Other associated clinical findings in BBS patients include diabetes, hypertension and congenital heart defects. BBS expression varies both within and between families and diagnosis is often difficult. Experimentation in non-human eukaryotes suggests that BBS5 is expressed in ciliated cells and that it is required for the formation of cilia. Alternate transcriptional splice variants have been observed but have not been fully characterized.
实验方案
| Product Specific Protocols | |
|---|---|
| IHC protocol for BBS5 antibody 14569-1-AP | Download protocol |
| IP protocol for BBS5 antibody 14569-1-AP | Download protocol |
| WB protocol for BBS5 antibody 14569-1-AP | Download protocol |
| Standard Protocols | |
|---|---|
| Click here to view our Standard Protocols |
发表文章
| Species | Application | Title |
|---|---|---|
Nat Genet A transition zone complex regulates mammalian ciliogenesis and ciliary membrane composition. | ||
Cell The conserved Bardet-Biedl syndrome proteins assemble a coat that traffics membrane proteins to cilia. | ||
Nat Cell Biol Systematic proteomics of the VCP-UBXD adaptor network identifies a role for UBXN10 in regulating ciliogenesis. | ||
Dev Cell IFT27 Links the BBSome to IFT for Maintenance of the Ciliary Signaling Compartment. | ||
Dev Cell The Intraflagellar Transport Protein IFT27 Promotes BBSome Exit from Cilia through the GTPase ARL6/BBS3. | ||















