验证数据展示
经过测试的应用
| Positive WB detected in | HEK-293 cells, mouse kidney tissue |
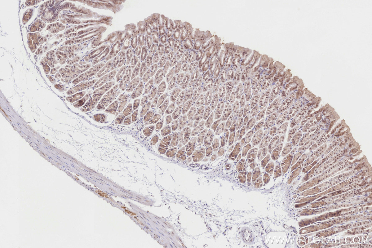
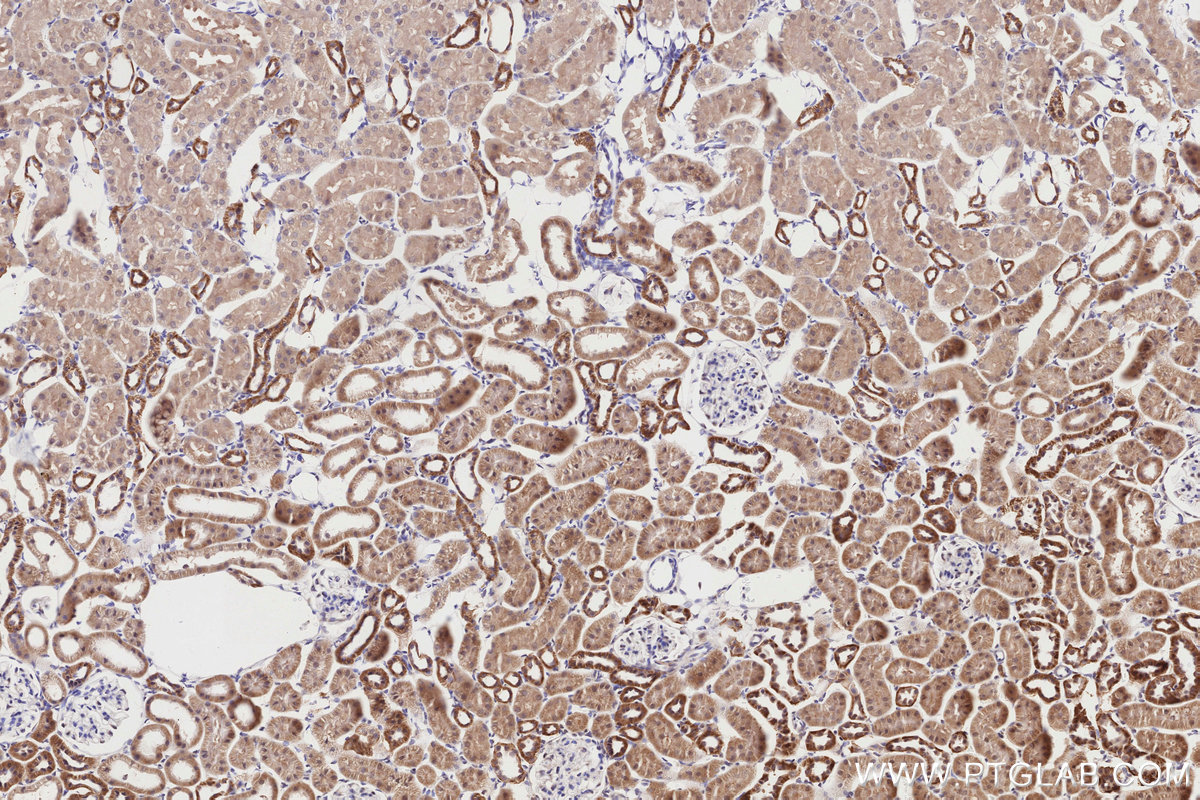
| Positive IHC detected in | mouse stomach tissue, rat kidney tissue Note: suggested antigen retrieval with TE buffer pH 9.0; (*) Alternatively, antigen retrieval may be performed with citrate buffer pH 6.0 |
| Positive IF/ICC detected in | hTERT-RPE1 cells |
推荐稀释比
| 应用 | 推荐稀释比 |
|---|---|
| Western Blot (WB) | WB : 1:500-1:4000 |
| Immunohistochemistry (IHC) | IHC : 1:500-1:2000 |
| Immunofluorescence (IF)/ICC | IF/ICC : 1:50-1:400 |
| It is recommended that this reagent should be titrated in each testing system to obtain optimal results. | |
| Sample-dependent, Check data in validation data gallery. | |
产品信息
12766-1-AP targets BBS4 in WB, IHC, IF/ICC, ELISA applications and shows reactivity with human, mouse, rat samples.
| 经测试应用 | WB, IHC, IF/ICC, ELISA Application Description |
| 文献引用应用 | WB, IF |
| 经测试反应性 | human, mouse, rat |
| 文献引用反应性 | human, mouse, rat |
| 免疫原 |
CatNo: Ag3430 Product name: Recombinant human BBS4 protein Source: e coli.-derived, PGEX-4T Tag: GST Domain: 1-351 aa of BC027624 Sequence: MAEERVATRTQFPVSTESQKPRQKKAPEFPILEKQNWLIHLHYIRKDYEACKAVIKEQLQETQGLCEYAIYVQALIFRLEGNIQESLELFQTCAVLSPQSADNLKQVARSLFLLGKHKAAIEVYNEAAKLNQKDWEISHNLGVCYIYLKQFNKAQDQLHNALNLNRHDLTYIMLGKIHLLEGDLDKAIEVYKKAVEFSPENTELLTTLGLLYLQLGIYQKAFEHLGNALTYDPTNYKAILAAGSMMQTHGDFDVALTKYRVVACAVPESPPLWNNIGMCFFGKKKYVAAISCLKRANYLAPFDWKILYNLGLVHLTMQQYASAFHFLSAAINFQPKMGELYMLLAVALTNL 种属同源性预测 |
| 宿主/亚型 | Rabbit / IgG |
| 抗体类别 | Polyclonal |
| 产品类型 | Antibody |
| 全称 | Bardet-Biedl syndrome 4 |
| 别名 | Bardet Biedl syndrome 4, Bardet-Biedl syndrome 4 protein |
| 计算分子量 | 519 aa, 58 kDa |
| 观测分子量 | 50-60 kDa |
| GenBank蛋白编号 | BC027624 |
| 基因名称 | BBS4 |
| Gene ID (NCBI) | 585 |
| RRID | AB_10596774 |
| 偶联类型 | Unconjugated |
| 形式 | Liquid |
| 纯化方式 | Antigen affinity purification |
| UNIPROT ID | Q96RK4 |
| 储存缓冲液 | PBS with 0.02% sodium azide and 50% glycerol, pH 7.3. |
| 储存条件 | Store at -20°C. Stable for one year after shipment. Aliquoting is unnecessary for -20oC storage. |
背景介绍
BBS4 (Bardet-Biedl syndrome protein 4) is one of the early BBS proteins discovered, with 35 mutations reported to cause the BBS phenotype (PMID: 26762677). BBS4 undergoes localization to the centriolar satellites of centrosomes and basal body of primary cilia, where it takes part in recruiting cargo to centriolar satellites and allowing the formation of a functional centrosomal microtubule organizing center (MTOC) (PMID: 25860617). Some research has found that BBS4 expression in humans during the development of CNS and sensory organs, concerning the cardinal clinical signs of BBS (PMID: 33860840).
实验方案
| Product Specific Protocols | |
|---|---|
| IF protocol for BBS4 antibody 12766-1-AP | Download protocol |
| IHC protocol for BBS4 antibody 12766-1-AP | Download protocol |
| WB protocol for BBS4 antibody 12766-1-AP | Download protocol |
| Standard Protocols | |
|---|---|
| Click here to view our Standard Protocols |
发表文章
| Species | Application | Title |
|---|---|---|
Nat Commun Coupling bimolecular PARylation biosensors with genetic screens to identify PARylation targets. | ||
PLoS Biol Loss of Bardet-Biedl syndrome proteins causes synaptic aberrations in principal neurons.
| ||
Dev Cell The CEP19-RABL2 GTPase Complex Binds IFT-B to Initiate Intraflagellar Transport at the Ciliary Base. | ||
Autophagy The ciliary protein RPGRIP1L governs autophagy independently of its proteasome-regulating function at the ciliary base in mouse embryonic fibroblasts. | ||
EMBO Rep Aurora Kinase A proximity map reveals centriolar satellites as regulators of its ciliary function. |





