验证数据展示
产品信息
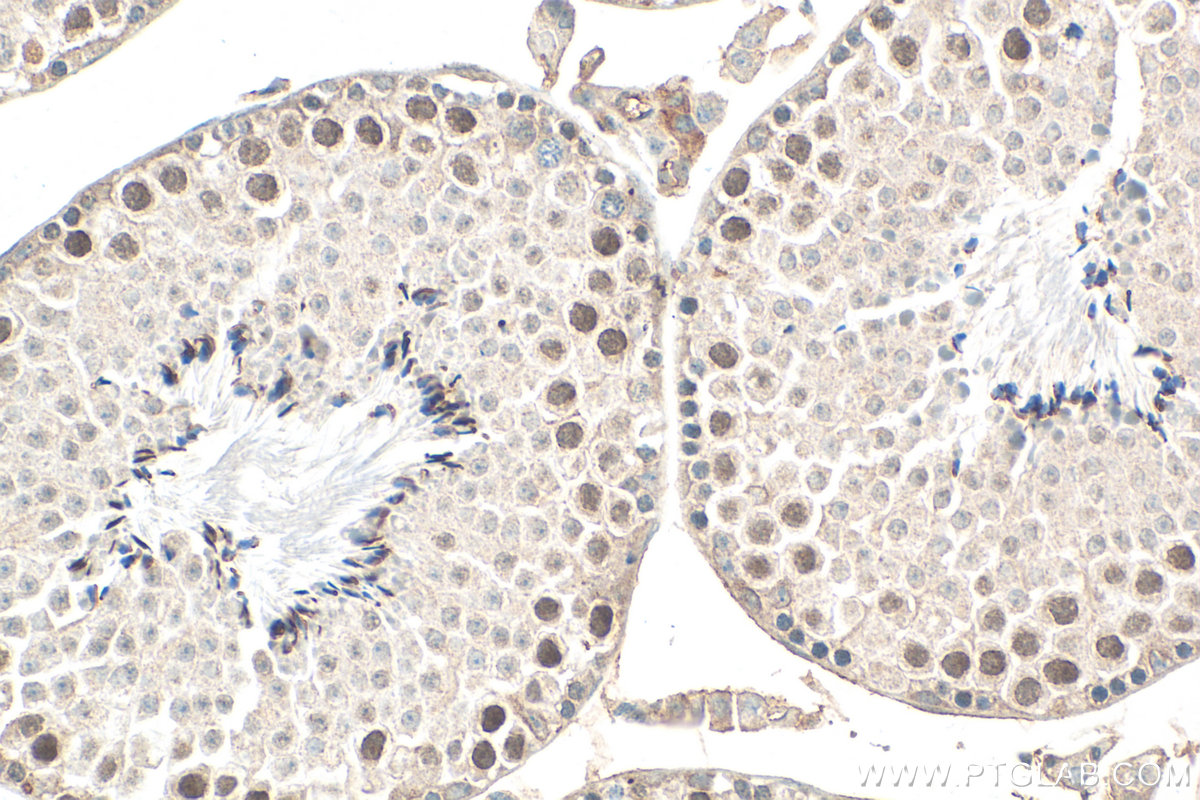
31092-1-PBS targets ARHGAP19 in WB, IHC, Indirect ELISA applications and shows reactivity with human samples.
| 经测试应用 | WB, IHC, Indirect ELISA Application Description |
| 经测试反应性 | human |
| 免疫原 |
CatNo: Ag34671 Product name: Recombinant human ARHGAP19 protein Source: e coli.-derived, PGEX-4T Tag: GST Domain: 388-494 aa of BC114490 Sequence: KKKQLIRQFNKQSLTQTPGREPSTSQVQKRARSRSFSGLIKRKVLGNQMMSEKKKKNPTPESVAIGELKGTSKENRNLLFSGSPAVTMTPTRLKWSEGKKEGKKGFL 种属同源性预测 |
| 宿主/亚型 | Rabbit / IgG |
| 抗体类别 | Polyclonal |
| 产品类型 | Antibody |
| 全称 | Rho GTPase activating protein 19 |
| 别名 | Rho GTPase-activating protein 19, Rho-type GTPase-activating protein 19 |
| 观测分子量 | 54 kDa |
| GenBank蛋白编号 | BC114490 |
| 基因名称 | ARHGAP19 |
| Gene ID (NCBI) | 84986 |
| 偶联类型 | Unconjugated |
| 形式 | Liquid |
| 纯化方式 | Antigen affinity purification |
| UNIPROT ID | Q14CB8 |
| 储存缓冲液 | PBS only, pH 7.3. |
| 储存条件 | Store at -80°C. The product is shipped with ice packs. Upon receipt, store it immediately at -80°C |


